missing translation for 'onlineSavingsMsg'
Learn More
Learn More
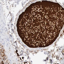
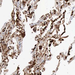
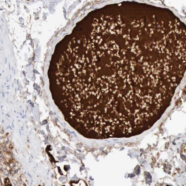
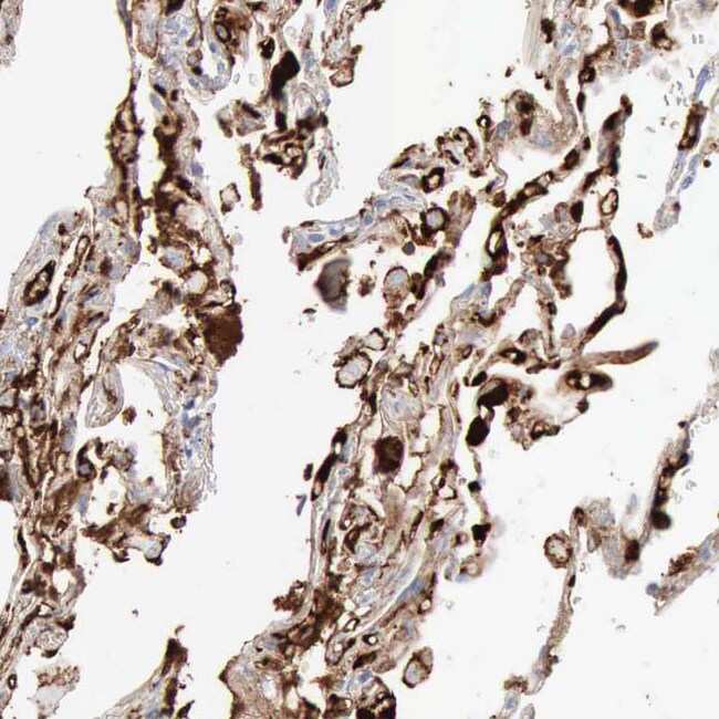
Invitrogen™ C4BPA Polyclonal Antibody

Description
Immunogen sequence: CDKGYILVGQ AKLSCSYSHW SAPAPQCKAL CRKPELVNGR LSVDKDQYVE PENVTIQCDS GYGVVGPQSI TCSGNRTWYP EVPKCEWETP EGCEQVLTGK RLMQCLPNPE DVKMALEVYK LSLEIEQLEL QRDSARQST Highest antigen sequence indentity to the following orthologs: Rat - 68%, Mouse - 61%.
There are 3 variants of Complement component 4 binding protein (C4bp), which is composed of alpha and beta chains. The predominant form is a 570 kDa complex of 7 alpha chains and 1 beta chain. The other complexes formed are a 530 kDa homoheptamer of alpha chains or a 500 kDa complex of 6 alpha chains and 1 beta chain. C4bp regulates the activation of the classical complement pathway. It is a cofactor to the C3b/C4b inactivator, crucial to the proteolytic cleavage of C4b and important in cleavage of C3b. C4bp also regulates the C4bC2a complex (C3 convertase), accelerating its degradation by dissociating the complement fragment C2a. Both the C4bp alpha and beta chains interact with anticoagulant protein S and C4bp alpha binds protein S. C4bp is expressed in the blood serum.
Specifications
Specifications
| Antigen | C4BPA |
| Applications | Immunohistochemistry (Paraffin), Western Blot |
| Classification | Polyclonal |
| Concentration | 0.1 mg/mL |
| Conjugate | Unconjugated |
| Formulation | PBS with 40% glycerol and 0.02% sodium azide; pH 7.2 |
| Gene | C4BPA |
| Gene Accession No. | P04003 |
| Gene Alias | AI195242; C4b-binding protein; C4b-binding protein alpha chain; C4bp; C4bpa; complement component 4 binding protein; complement component 4 binding protein alpha; complement component 4 binding protein, alpha; proline-rich protein; PRP; RP11-164O23.4 |
| Gene Symbols | C4BPA |
| Show More |
Product Title
By clicking Submit, you acknowledge that you may be contacted by Fisher Scientific in regards to the feedback you have provided in this form. We will not share your information for any other purposes. All contact information provided shall also be maintained in accordance with our Privacy Policy.
Spot an opportunity for improvement?