missing translation for 'onlineSavingsMsg'
Learn More
Learn More
Invitrogen™ C22orf42 Polyclonal Antibody

Rabbit Polyclonal Antibody
Brand: Invitrogen™ PA554015
This item is not returnable.
View return policy
Description
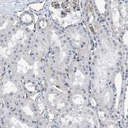
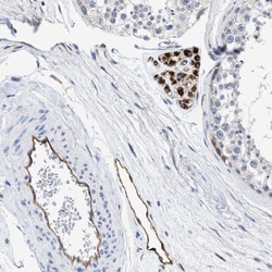
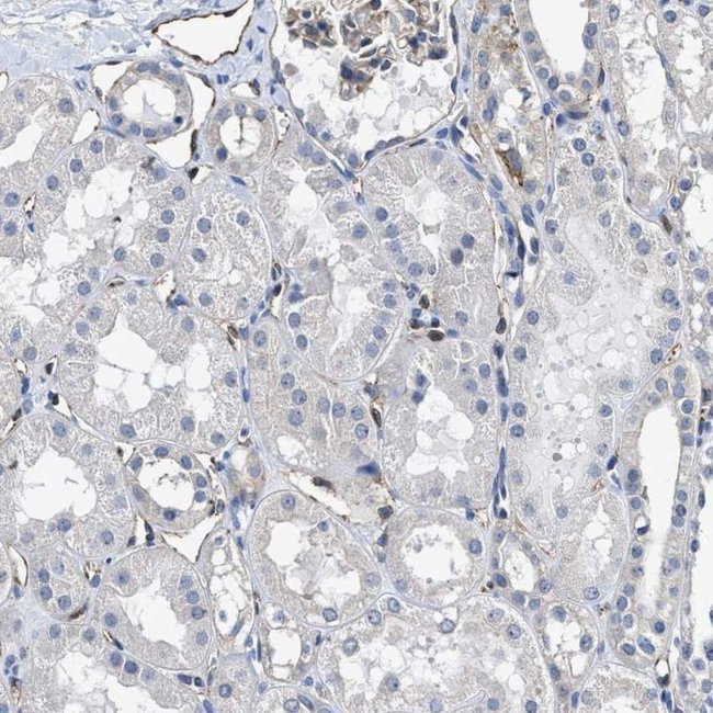
Immunogen sequence: LSESLSVCLE DFMTSDLSES LSVSLEDFMT SGLSESLSVS LEDLMTPEMA KERYEDYLCW VKMARSRLNE PISSQVLGLL R Highest antigen sequence identity to the following orthologs: Mouse - 28%, Rat - 28%.
Specifications
| C22orf42 | |
| Polyclonal | |
| Unconjugated | |
| C22orf42 | |
| C22orf42; chromosome 22 open reading frame 42; dJ90G24.6; Uncharacterized protein C22orf42 | |
| Rabbit | |
| Antigen affinity chromatography | |
| RUO | |
| 150297 | |
| Store at 4°C short term. For long term storage, store at -20°C, avoiding freeze/thaw cycles. | |
| Liquid |
| Immunohistochemistry (Paraffin) | |
| 0.3 mg/mL | |
| PBS with 40% glycerol and 0.02% sodium azide; pH 7.2 | |
| Q6IC83 | |
| C22orf42 | |
| Recombinant protein corresponding to Human C22orf42. Recombinant protein control fragment (Product #RP-92372). | |
| 100 μL | |
| Primary | |
| Human | |
| Antibody | |
| IgG |
Product Content Correction
Your input is important to us. Please complete this form to provide feedback related to the content on this product.
Product Title
Spot an opportunity for improvement?Share a Content Correction