missing translation for 'onlineSavingsMsg'
Learn More

C1qTNF3/CORS26/CTRP3 Antibody - BSA Free, Novus Biologicals™

Rabbit Polyclonal Antibody

Brand:  Novus Biologicals NBP1-76628

Product Code. 18254676

  • £398.00 / 0.10mg

Please to purchase this item. Need a web account? Register with us today!

This item is not returnable. View return policy

Description

Description

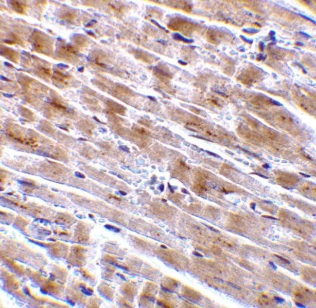
C1qTNF3/CORS26/CTRP3 Polyclonal specifically detects C1qTNF3/CORS26/CTRP3 in Human, Mouse, Rat samples. It is validated for Western Blot, ELISA, Immunohistochemistry, Immunocytochemistry/Immunofluorescence, Immunohistochemistry-Paraffin, Immunofluorescence.
TRUSTED_SUSTAINABILITY
Specifications

Specifications

C1qTNF3/CORS26/CTRP3
Polyclonal
Unconjugated
PBS with 0.02% Sodium Azide
C1ATNF3, C1q and tumor necrosis factor related protein 3, cartonectin, collagenous repeat-containing sequence of 26-kDa, complement C1q tumor necrosis factor-related protein 3, complement-c1q tumor necrosis factor-related protein 3, Corcs, Cors, Cors-26, CORS26, CTRP32310005P21Rik, FLJ37576, Secretory protein CORS26
Rabbit
36 kDa
0.1 mg
Primary
Multiple isoforms of CTRP3 are known to exist. CTRP3 antibody is predicted to not recognize other members of the CTRP protein family.
Store at 4C short term. Aliquot and store at -20C long term. Avoid freeze-thaw cycles.
Western Blot, ELISA, Immunohistochemistry, Immunocytochemistry, Immunofluorescence, Immunohistochemistry (Paraffin)
1 mg/mL
Western Blot 1:100-1:2000, ELISA 1:100-1:2000, Immunohistochemistry 1:10-1:500, Immunocytochemistry/Immunofluorescence 10 ug/ml, Immunohistochemistry-Paraffin 1:10-1:500
NP_852100
C1QTNF3
Antibody was raised against a 16 amino acid synthetic peptide from near the center of human CTRP3. The immunogen is located within amino acids 90 - 140 of CTRP3. Amino Acid Squence: PRGERGQHGPKGEKGY
Affinity Purified
RUO
114899
Human, Mouse
IgG
Product Suggestions

Product Suggestions

Videos
SDS
Documents

Documents

Certificates
Promotions

Promotions

Correction du contenu d'un produit

Veuillez fournir vos retours sur le contenu du produit en remplissant le formulaire ci-dessous.

Nom du produit

En cliquant sur Soumettre, vous reconnaissez que vous pouvez être contacté par Fisher Scientific au sujet des informations que vous avez fournies dans ce formulaire. Nous ne partagerons pas vos informations à d'autres fins. Toutes les informations de contact fournies seront également conservées conformément à notre politique de confidentialité. Politique de confidentialité.

Merci de nous aider à améliorer notre site web. Votre commentaire a été soumis

For Research Use Only