missing translation for 'onlineSavingsMsg'
Learn More

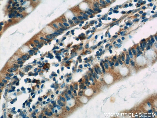
C10orf28 Rabbit anti-Human, Polyclonal, Proteintech

Rabbit Polyclonal Antibody

Brand:  Proteintech 24967-1-AP-150UL

 View more versions of this product

Product Code. 16893485

  • £349.00 / 150µL

Please to purchase this item. Need a web account? Register with us today!

This item is not returnable. View return policy

Description

Description

Specifications

Specifications

C10orf28
Polyclonal
Unconjugated
R3HCC1L
C10orf28, C10orf28 protein, GIDRP86, PSORT
Rabbit
Antigen Affinity Chromatography
RUO
27291
-20°C
Liquid
Immunocytochemistry, Immunofluorescence, Immunohistochemistry (Paraffin), Western Blot
0.31 mg/mL
PBS with 50% glycerol and 0.1% sodium azide; pH 7.3
Q7Z5L2
R3HCC1L
C10orf28 Fusion Protein Ag21740
150 μL
Primary
Human
Antibody
IgG
Product Suggestions

Product Suggestions

Videos
SDS
Documents

Documents

Certificates
Promotions

Promotions

Product Content Correction

Your input is important to us. Please complete this form to provide feedback related to the content on this product.

Product Title

By clicking Submit, you acknowledge that you may be contacted by Fisher Scientific in regards to the feedback you have provided in this form. We will not share your information for any other purposes. All contact information provided shall also be maintained in accordance with our Privacy Policy.

Thank You! Your feedback has been submitted. Fisher Scientific is always working to improve our content for you. We appreciate your feedback.