missing translation for 'onlineSavingsMsg'
Learn More

BZW1 Antibody - BSA Free, Novus Biologicals™

Rabbit Polyclonal Antibody

Brand:  Novus Biologicals NBP2-92424-0.02ml

 View more versions of this product

Product Code. 18677020

This item is currently unavailable or has been discontinued.
View the product page for possible alternatives.
View alternative products »

This item is not returnable. View return policy

Description

Description

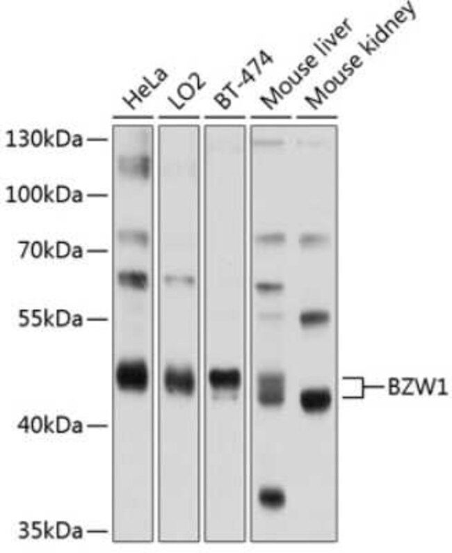
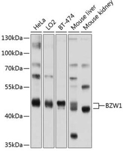
BZW1 Polyclonal antibody specifically detects BZW1 in Human, Mouse samples. It is validated for Western Blot
TRUSTED_SUSTAINABILITY
Specifications

Specifications

BZW1
Polyclonal
Western Blot 1:500-1:2000
basic leucine zipper and W2 domain-containing protein 1, basic leucine zipper and W2 domains 1, basic leucine-zipper protein BZAP45, BZAP45KIAA0005Protein Orf, Nbla10236, putative protein product of Nbla10236
Recombinant fusion protein containing a sequence corresponding to amino acids 1-290 of human BZW1 (NP_001193996.1). MNNQKQQKPTLSGQRFKTRKRDEKERFDPTQFQDCIIQGLTETGTDLEAVAKFLDASGAKLDYRRYAETLFDILVAGGMLAPGGTLADDMMRTDVCVFAAQEDLETMQAFAQVFNKLIRRYKYLEKGFEDEVKKLLLFLKGFSESERNKLAMLTGVLLANGTLNASILNSLYNENLVKEGVSAAFAVKLFKSWINEKDINAVAASLRKVSMDNRLMELFPANKQSVEHFTKYFTEAGLKELSEYVRNQQTIGARKELQKELQEQMSRGDPFKDIILYVKEEMKKNNIPEP
0.02 mL
Primary
Human, Mouse
Purified
Western Blot
Unconjugated
PBS with 50% glycerol, pH7.3.
Rabbit
Affinity purified
RUO
9689
Store at -20°C. Avoid freeze-thaw cycles.
IgG
Product Suggestions

Product Suggestions

Videos
SDS
Documents

Documents

Certificates
Promotions

Promotions

Product Content Correction

Your input is important to us. Please complete this form to provide feedback related to the content on this product.

Product Title

By clicking Submit, you acknowledge that you may be contacted by Fisher Scientific in regards to the feedback you have provided in this form. We will not share your information for any other purposes. All contact information provided shall also be maintained in accordance with our Privacy Policy.

Thank You! Your feedback has been submitted. Fisher Scientific is always working to improve our content for you. We appreciate your feedback.