missing translation for 'onlineSavingsMsg'
Learn More
Learn More
Invitrogen™ BSDC1 Polyclonal Antibody

Rabbit Polyclonal Antibody
Brand: Invitrogen™ PA556713
This item is not returnable.
View return policy
Description
Immunogen sequence: GISPISPKEA KVPVAKISTF PEGEPGPQSP CEENLVTSVE PPAEVTPSES SESISLVTQI ANPATAPEAR VLPKDLSQK Highest antigen sequence identity to the following orthologs: Mouse - 75%, Rat - 68%.
BSDC1 (BSD Domain Containing 1) is a Protein Coding gene. An important paralog of this gene is SYAP1. [GeneCards].
Specifications
| BSDC1 | |
| Polyclonal | |
| Unconjugated | |
| BSDC1 | |
| 1110063F24Rik; AW011758; BSD domain containing 1; BSD domain-containing protein 1; BSDC1; DKFZp686B09139; FLJ10276; hypothetical protein LOC505545; RGD1311622; RP4-811H24.7; UNQ2494/PRO5781 | |
| Rabbit | |
| Antigen affinity chromatography | |
| RUO | |
| 55108 | |
| Store at 4°C short term. For long term storage, store at -20°C, avoiding freeze/thaw cycles. | |
| Liquid |
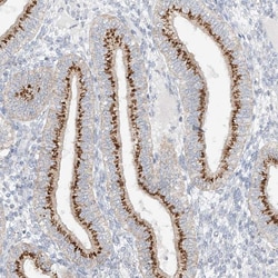
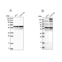
| Immunohistochemistry (Paraffin), Western Blot, Immunocytochemistry | |
| 0.2 mg/mL | |
| PBS with 40% glycerol and 0.02% sodium azide; pH 7.2 | |
| Q9NW68 | |
| BSDC1 | |
| Recombinant protein corresponding to Human BSDC1. Recombinant protein control fragment (Product #RP-94348). | |
| 100 μL | |
| Primary | |
| Human | |
| Antibody | |
| IgG |
Product Content Correction
Your input is important to us. Please complete this form to provide feedback related to the content on this product.
Product Title
Spot an opportunity for improvement?Share a Content Correction