missing translation for 'onlineSavingsMsg'
Learn More

BRD3 Antibody (7G6), Novus Biologicals™

Product Code. 18366808 Shop All Bio Techne Products
Change view
Click to view available options
Quantity:
0.1 mg
Unit Size:
0.01mg
1 product options available for selection
Product selection table with 1 available options. Use arrow keys to navigate and Enter or Space to select.
Product Code. Quantity unitSize
18366808 0.1 mg 0.01mg
Use arrow keys to navigate between rows. Press Enter or Space to select a product option. 1 options available.
1 options
This item is not returnable. View return policy
Product Code. 18366808 Supplier Novus Biologicals Supplier No. H00008019M02

Please to purchase this item. Need a web account? Register with us today!

This item is not returnable. View return policy

Mouse Monoclonal Antibody

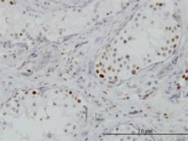
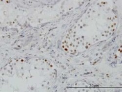
BRD3 Monoclonal antibody specifically detects BRD3 in Human samples. It is validated for Western Blot, ELISA, Immunohistochemistry, Immunohistochemistry (Paraffin), ELISA
TRUSTED_SUSTAINABILITY

Specifications

Antigen BRD3
Applications Western Blot, ELISA, Immunohistochemistry, Immunohistochemistry (Paraffin), Sandwich ELISA
Classification Monoclonal
Clone 7G6
Conjugate Unconjugated
Formulation In 1x PBS, pH 7.4
Gene Accession No. AAH32124
Gene Alias bromodomain containing 3, bromodomain-containing protein 3, KIAA0043FLJ41328, ORFXbromodomain-containing 3, RING3LFLJ23227, RING3-like protein
Host Species Mouse
Immunogen BRD3 (AAH32124, 418 a.a. ~ 556 a.a) partial recombinant protein with GST tag. MW of the GST tag alone is 26 KDa. EPVEAPALPAPAAPMVSKGAESSRSSEESSSDSGSSDSEEERATRLAELQEQLKAVHEQLAALSQAPVNKPKKKKEKKEKEKKKKDKEKEKEKHKVKAEEEKKAKVAPPAKQAQQKKAPAKKANSTTTAGRDHFLTCGV
Purification Method IgG purified
Quantity 0.1 mg
Regulatory Status RUO
Research Discipline Protein Kinase
Primary or Secondary Primary
Gene ID (Entrez) 8019
Target Species Human
Content And Storage Aliquot and store at -20°C or -80°C. Avoid freeze-thaw cycles.
Form Purified
Isotype IgG3 κ
Show More Show Less
Product Title
Select an issue

By clicking Submit, you acknowledge that you may be contacted by Fisher Scientific in regards to the feedback you have provided in this form. We will not share your information for any other purposes. All contact information provided shall also be maintained in accordance with our Privacy Policy.