missing translation for 'onlineSavingsMsg'
Learn More
Learn More
Description
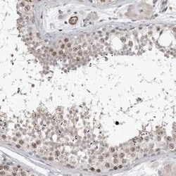
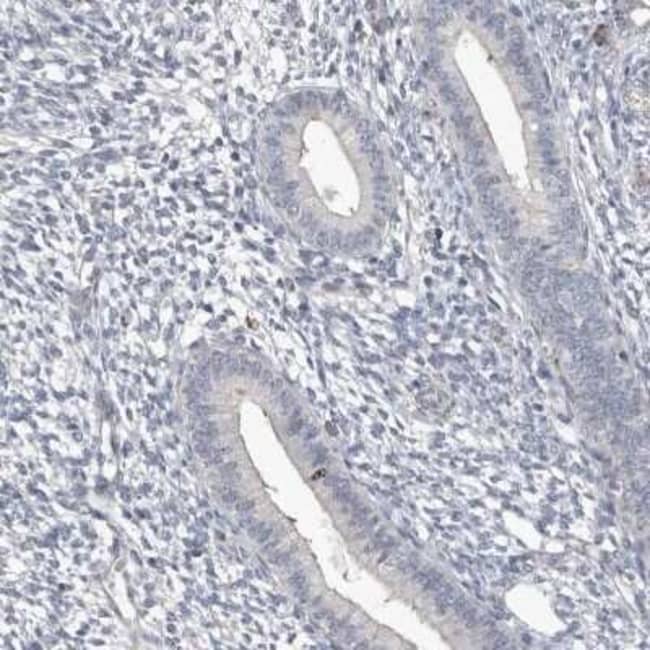
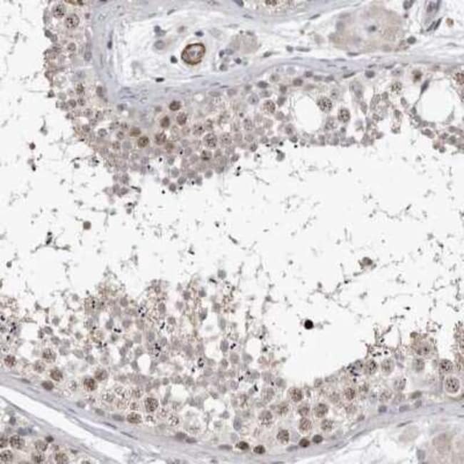
Borealin Polyclonal antibody specifically detects Borealin in Human samples. It is validated for Western Blot, Immunohistochemistry, Immunohistochemistry (Paraffin)
Specifications
Specifications
| Antigen | Borealin |
| Applications | Western Blot, Immunohistochemistry, Immunohistochemistry (Paraffin) |
| Classification | Polyclonal |
| Conjugate | Unconjugated |
| Dilution | Western Blot 0.04-0.4 ug/mL, Immunohistochemistry 1:20 - 1:50, Immunohistochemistry-Paraffin 1:20 - 1:50 |
| Formulation | PBS (pH 7.2) and 40% Glycerol |
| Gene Alias | BOR, BOREALIN, cell division cycle associated 8, Cell division cycle-associated protein 8, Dasra B, dasra-B, DasraB, FLJ10468, FLJ12042, hDasra-B, MESRGP, PESCRG3, Pluripotent embryonic stem cell-related gene 3 protein |
| Host Species | Rabbit |
| Immunogen | This antibody was developed against Recombinant Protein corresponding to amino acids: AKTNSLRRRKLASFLKDFDREVEIRIKQIESDRQNLLKEVDNLYNIEILRLPKALREMNWLDYFALGGNKQALEEAATADLDITEINKLTAE |
| Purification Method | Immunogen affinity purified |
| Show More |
Product Title
By clicking Submit, you acknowledge that you may be contacted by Fisher Scientific in regards to the feedback you have provided in this form. We will not share your information for any other purposes. All contact information provided shall also be maintained in accordance with our Privacy Policy.
Spot an opportunity for improvement?