missing translation for 'onlineSavingsMsg'
Learn More
Learn More
Description
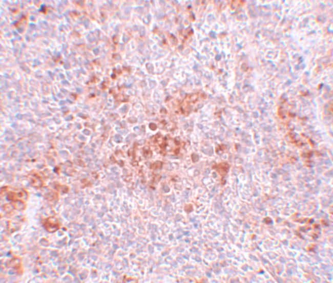
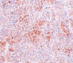
A suggested positive control is human kidney tissue lysate. PA5-20894 can be used with blocking peptide PEP-1008.
The bifunctional apoptosis inhibitor (BFAR) is scaffold protein that integrates signaling components of the cells apoptosis-regulatory machinery. BFAR is a multidomain protein capable of inhibiting apoptosis induced by TNF-family death receptors ('extrinsic pathway') as well as mitochondria-dependent apoptosis ('intrinsic pathway'). Interaction of BFAR with Bcl-2 or Bcl-XL via a SAM domain may contribute to the anti-apoptotic properties of BFAR. In addition, BFAR contains a DED-like domain that is capable of suppressing apoptosis mediated at the receptor level. BFAR is also thought to be involved in the regulation of neuronal survival.
Specifications
Specifications
| Antigen | BFAR |
| Applications | Immunohistochemistry, Western Blot |
| Classification | Polyclonal |
| Concentration | 1 mg/mL |
| Conjugate | Unconjugated |
| Formulation | PBS with 0.02% sodium azide |
| Gene | BFAR |
| Gene Accession No. | Q5PQN2, Q8R079, Q9NZS9 |
| Gene Alias | 3010001A07Rik; AI666707; AW107665; BAR; Bfar; bifunctional apoptosis inhibitor; bifunctional apoptosis regulator; RING finger protein 47; RNF47 |
| Gene Symbols | BFAR |
| Show More |
Product Title
By clicking Submit, you acknowledge that you may be contacted by Fisher Scientific in regards to the feedback you have provided in this form. We will not share your information for any other purposes. All contact information provided shall also be maintained in accordance with our Privacy Policy.
Spot an opportunity for improvement?
