missing translation for 'onlineSavingsMsg'
Learn More

Invitrogen™ beta Arrestin 1 Polyclonal Antibody
GREENER_CHOICE

Rabbit Polyclonal Antibody

Brand:  Invitrogen™ PA587369

Product Code. 16585871

  • £441.00 / 100µL

Please to purchase this item. Need a web account? Register with us today!

This item is not returnable. View return policy

Description

Description

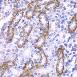
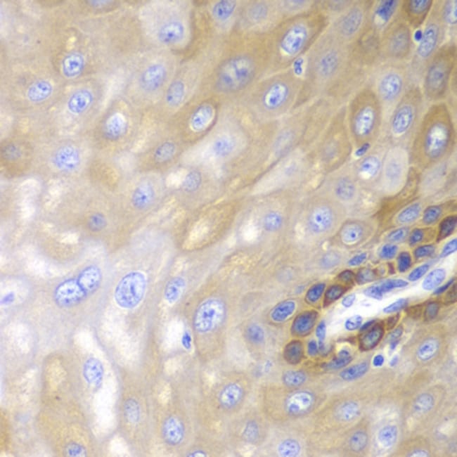
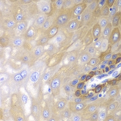
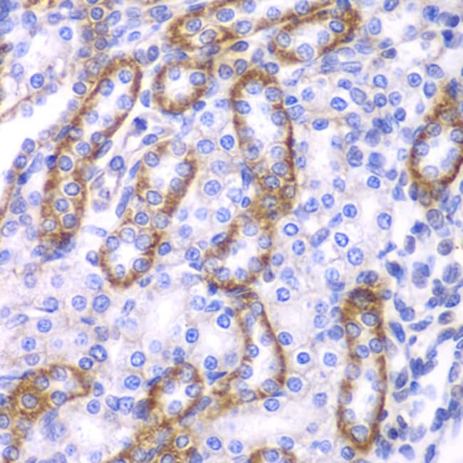
Positive Samples: A-549, Mouse spleen; Cellular Location: Cell membrane, Cell projection, Cytoplasm, Cytoplasmic vesicle, Membrane, Nucleus, clathrin-coated pit, pseudopodium Immunogen sequence: LASSTLLREG ANREILGIIV SYKVKVKLVV SRGGLLGDLA SSDVAVELPF TLMHPKPKEE PPHREVPENE TPVDTNLIEL DTNDDDIVFE DFARQRLKGM K.

Beta Arrestin 1 is a member of a family of proteins widely expressed but especially abundant in the central nervous system. Serving as an adaptor or scaffold molecule, beta Arrestin 1 is essential for mitogenic signaling and mediates agonist-dependent desensitization and internalization of Gprotein-coupled receptors (GPCRs, e.g., beta 2-adrenergic receptor). After binding to their ligand and interacting with heterotrimeric G proteins, GPCRs are phosphorylated by G-protein receptor kinases (GRKs) on serine residues. Beta Arrestin 1 in the cytosol is phosphorylated by ERK1 and 2 on serine412 in a negative feedback mechanism and binds to the phosphorylated receptors at the plasma membrane. Serine 412 is then dephosphorylated and the GPCRs are internalized, leading to activation of the Ras, Raf, ERK1 and 2 signaling pathway.
TRUSTED_SUSTAINABILITY
Specifications

Specifications

beta Arrestin 1
Polyclonal
Unconjugated
ARRB1
1200006I17Rik; ARB1; ARR1; ARRB1; ARRB1 protein; arrdc1; arrestin; arrestin 2; arrestin beta 1; arrestin beta-1; arrestin, beta 1; arrestin-2; AW208571; BARRES; beta-arrestin; beta-arrestin1; beta-arrestin-1; G430100A01Rik; Non-visual arrestin-2
Rabbit
Affinity chromatography
RUO
109689, 25387, 408
-20°C, Avoid Freeze/Thaw Cycles
Liquid
ELISA, Immunohistochemistry (Paraffin), Western Blot, Immunocytochemistry
0.63 mg/mL
PBS with 50% glycerol and 0.02% sodium azide; pH 7.3
P29066, P49407, Q8BWG8
ARRB1
Recombinant fusion protein containing a sequence corresponding to amino acids 300-400 of human beta-arrestin1 (NP_0040322).
100 μL
Primary
Human, Mouse, Rat
Antibody
IgG
Product Suggestions

Product Suggestions

Videos
SDS
Documents

Documents

Certificates
Promotions

Promotions

Product Content Correction

Your input is important to us. Please complete this form to provide feedback related to the content on this product.

Product Title

By clicking Submit, you acknowledge that you may be contacted by Fisher Scientific in regards to the feedback you have provided in this form. We will not share your information for any other purposes. All contact information provided shall also be maintained in accordance with our Privacy Policy.

Thank You! Your feedback has been submitted. Fisher Scientific is always working to improve our content for you. We appreciate your feedback.