Learn More
Invitrogen™ beta-2 Adrenergic Receptor Recombinant Rabbit Monoclonal Antibody (JM102-06)

Rabbit Recombinant Monoclonal Antibody
Brand: Invitrogen™ MA532570
Description
Recombinant rabbit monoclonal antibodies are produced using in vitro expression systems. The expression systems are developed by cloning in the specific antibody DNA sequences from immunoreactive rabbits. Then, individual clones are screened to select the best candidates for production. The advantages of using recombinant rabbit monoclonal antibodies include: better specificity and sensitivity, lot-to-lot consistency, animal origin-free formulations, and broader immunoreactivity to diverse targets due to larger rabbit immune repertoire.
Adrenergic receptors (ARs) are members of the 7-transmembrane domain G-protein-coupled receptor superfamily that bind the endogenous catecholamines epinephrine and norepinephrine. Pharmacological, structural, and molecular cloning data indicate significant heterogeneity within this receptor family. Nine receptor subtypes have been identified thus far including three alpha-1 AR subtypes (1A/D, 1B, and 1C), three alpha-2 ARs (2A, 2B, and 2C), and three beta AR subtypes (1, 2, and 3). ARs participate in either the onset or maintenance of several disease states including hypertension, cardiac dysfunction (congestive heart failure, ischemia, arrhythmias), diabetes, glaucoma, depression, and impotence.
Specifications
| beta-2 Adrenergic Receptor | |
| Recombinant Monoclonal | |
| 1 mg/mL | |
| TBS with 0.05% BSA, 40% Glycerol and 0.05% sodium azide; pH 7.4 | |
| P07550, P10608, P18762 | |
| Adrb2 | |
| Synthetic peptide within Human ADRB2 aa 369-400. | |
| 100 μL | |
| Primary | |
| Human, Mouse, Rat, Zebrafish | |
| Antibody | |
| IgG |
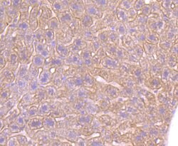
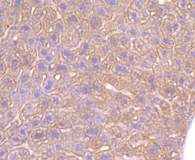
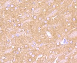
| Flow Cytometry, Immunohistochemistry (Frozen), Immunohistochemistry (Paraffin), Western Blot, Immunocytochemistry | |
| JM102-06 | |
| Unconjugated | |
| Adrb2 | |
| Adrb2; Adrb-2; ADRB2R; ADRBR; Adrenergic beta 2- receptor surface; adrenergic receptor beta 2; adrenergic receptor, beta 2; adrenergic, beta-2, receptor, surface; adrenergic, beta-2-, receptor, surface; adrenoceptor beta 2; adrenoceptor beta 2 surface; adrenoceptor beta 2, surface; AR beta2; B2AR; Badm; BAR; beta 2-AR; beta-2 adrenergic receptor; Beta-2 adrenoceptor; beta-2 adrenoreceptor; beta-2-adrenergic receptor; beta2-adrenergic receptor; beta2-Adrenoreceptor; BETA2AR; catecholamine receptor; Gpcr7; HGNC:286 | |
| Rabbit | |
| Protein A | |
| RUO | |
| 11555, 154, 24176 | |
| Store at 4°C short term. For long term storage, store at -20°C, avoiding freeze/thaw cycles. | |
| Liquid |
Your input is important to us. Please complete this form to provide feedback related to the content on this product.