missing translation for 'onlineSavingsMsg'
Learn More
Learn More
Invitrogen™ beta-2 Adrenergic Receptor Polyclonal Antibody

Rabbit Polyclonal Antibody
Brand: Invitrogen™ PA586483
This item is not returnable.
View return policy
Description
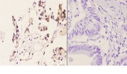
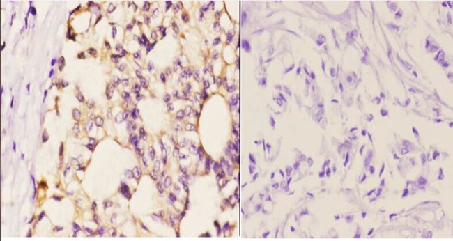
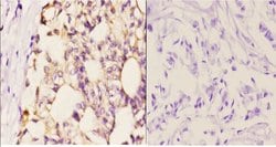
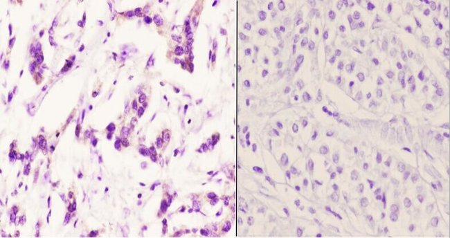
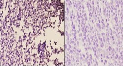
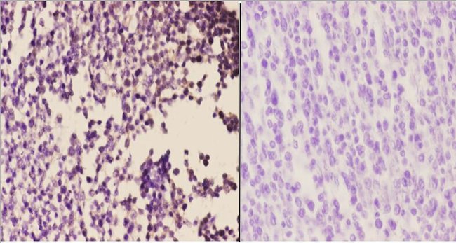
Multiple bands are observed at 47 kDa,68 kDa (glycosylated), and 95 kDa(Dimer). Purity is > 95% by SDS-PAGE.
Adrenergic receptors (ARs) are members of the 7-transmembrane domain G-protein-coupled receptor superfamily that bind the endogenous catecholamines epinephrine and norepinephrine. Pharmacological, structural, and molecular cloning data indicate significant heterogeneity within this receptor family. Nine receptor subtypes have been identified thus far including three alpha-1 AR subtypes (1A/D, 1B, and 1C), three alpha-2 ARs (2A, 2B, and 2C), and three beta AR subtypes (1, 2, and 3). ARs participate in either the onset or maintenance of several disease states including hypertension, cardiac dysfunction (congestive heart failure, ischemia, arrhythmias), diabetes, glaucoma, depression, and impotence.
Specifications
| beta-2 Adrenergic Receptor | |
| Polyclonal | |
| Unconjugated | |
| Adrb2 | |
| Adrb2; Adrb-2; ADRB2R; ADRBR; Adrenergic beta 2- receptor surface; adrenergic receptor beta 2; adrenergic receptor, beta 2; adrenergic, beta-2, receptor, surface; adrenergic, beta-2-, receptor, surface; adrenoceptor beta 2; adrenoceptor beta 2 surface; adrenoceptor beta 2, surface; AR beta2; B2AR; Badm; BAR; beta 2-AR; beta-2 adrenergic receptor; Beta-2 adrenoceptor; beta-2 adrenoreceptor; beta-2-adrenergic receptor; beta2-adrenergic receptor; beta2-Adrenoreceptor; BETA2AR; catecholamine receptor; Gpcr7; HGNC:286 | |
| Rabbit | |
| Antigen affinity chromatography | |
| RUO | |
| 154 | |
| Store at 4°C short term. For long term storage, store at -20°C, avoiding freeze/thaw cycles. | |
| Liquid |
| Immunohistochemistry (Paraffin), Immunocytochemistry | |
| 1 mg/mL | |
| PBS with 50% glycerol and 0.02% sodium azide; pH 7.2 | |
| P07550 | |
| Adrb2 | |
| Synthetic peptide, corresponding to amino acids 351-400 of Human AR-beta2. | |
| 100 μL | |
| Primary | |
| Human | |
| Antibody | |
| IgG |
Product Content Correction
Your input is important to us. Please complete this form to provide feedback related to the content on this product.
Product Title
Spot an opportunity for improvement?Share a Content Correction