missing translation for 'onlineSavingsMsg'
Learn More

Beta-1,3-N-Acetylglucosaminyltransferase 2/B3GNT2 Antibody, Novus Biologicals™

Rabbit Polyclonal Antibody

Brand:  Novus Biologicals NBP2-97144-50ul

 View more versions of this product

Product Code. 18619013

  • £180.00 / 50µL

Please to purchase this item. Need a web account? Register with us today!

This item is not returnable. View return policy

Description

Description

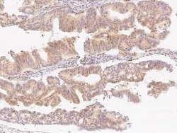
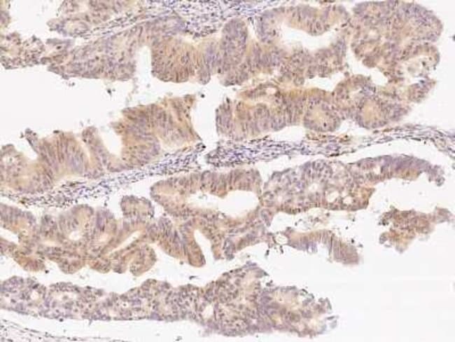
Beta-1,3-N-Acetylglucosaminyltransferase 2/B3GNT2 Polyclonal antibody specifically detects Beta-1,3-N-Acetylglucosaminyltransferase 2/B3GNT2 in Human samples. It is validated for Immunohistochemistry (Paraffin)
TRUSTED_SUSTAINABILITY
Specifications

Specifications

Beta-1,3-N-Acetylglucosaminyltransferase 2/B3GNT2
Polyclonal
Immunohistochemistry-Paraffin 1:500-1:2000
b3Gal-T7, B3GALT7, B3GNT, B3GNT1, B3GN-T1, B3GN-T2, B3GNT-2, Beta-1,3-galactosyltransferase 7, Beta-1,3-GalTase 7, beta-1,3-Gn-T1, Beta-1,3-Gn-T2, Beta-1,3-N-acetylglucosaminyltransferase 1, Beta-1,3-N-acetylglucosaminyltransferase 2, beta-1,3-N-acetylglucosaminyltransferase bGnT-1, beta-1,3-N-acetylglucosaminyltransferase bGnT-2, Beta3GalT7, Beta3Gal-T7, BETA3GNT, Beta3Gn-T1, beta3Gn-T2, Beta-3-Gx-T7, BGnT-1, BGnT-2, BGNT2, EC 2.4.1.-, UDP-Gal:beta-GlcNAc beta-1,3-galactosyltransferase 7, UDP-galactose:beta-N-acetylglucosamine beta-1,3-galactosyltransferase 7, UDP-GlcNAc:betaGal beta-1,3-N-acetylglucosaminyltransferase 1, UDP-GlcNAc:betaGal beta-1,3-N-acetylglucosaminyltransferase 2
Produced in rabbits immunized with E. coli-derived Human Beta-1,3-N-Acetylglucosaminyltransferase 2/B3GNT2 fragment.
50 μg
Cell Cycle and Replication
10678
Store at 4°C short term. Aliquot and store at -20°C long term. Avoid freeze-thaw cycles.
IgG
Immunohistochemistry (Paraffin)
Unconjugated
0.2 um filtered solution in PBS
Rabbit
Antigen and protein A Affinity-purified
RUO
Primary
Human
Purified
Product Suggestions

Product Suggestions

Videos
SDS
Documents

Documents

Certificates
Promotions

Promotions

Product Content Correction

Your input is important to us. Please complete this form to provide feedback related to the content on this product.

Product Title

Indem Sie auf Absenden klicken, erklären Sie sich damit einverstanden, dass Fisher Scientific sich mit Ihnen in Verbindung setzen kann, um Ihr Feedback in diesem Formular zu bearbeiten. Wir werden Ihre Informationen nicht für andere Zwecke weitergeben. Alle bereitgestellten Kontaktinformationen werden in Übereinstimmung mit unserer Datenschutzrichtlinie aufbewahrt. Datenschutzrichtlinie.

Vielen Dank, dass Sie uns helfen, unsere Website zu verbessern. Ihr Feedback wurde übermittelt