missing translation for 'onlineSavingsMsg'
Learn More

Invitrogen™ Bestrophin 1 Polyclonal Antibody

Rabbit Polyclonal Antibody

Brand:  Invitrogen™ PA528910

Product Code. 13473027

  • £478.00 / 100µL

Please to purchase this item. Need a web account? Register with us today!

This item is not returnable. View return policy

Description

Description

Recommended positive controls: NT2D1, PC-3, U87-MG. Store product as a concentrated solution. Centrifuge briefly prior to opening the vial.

The retinal pigment epithelium (RPE) and choroid represent a differentiated system of the eye that sustains normal retinal health and function. Best vitelliform macular dystrophy, known as Best disease, is an early-onset autosomal dominant condition in which accumulation of lipofuscin-like material within and beneath the RPE leads to progressive loss of central vision. The lipofuscin-like material in the macular area appears as a yellow mass like the yolk of an egg that later becomes darker and irregular in color, a process known as 'scrambling the egg'. Best disease is frequently a reflection of mutations in the Bestrophin gene, which encodes a protein containing four putative transmembrane domains and localizes to the basolateral plasma membrane of RPE cells. Human Bestrophin forms oligomeric chloride channels that are sensitive to intracellular calcium. Missense mutations at the Bestrophin locus reduces or abolishes Bestrophin protein mediated membrane current. The human Bestrophin gene encodes a 585 amino acid protein.
TRUSTED_SUSTAINABILITY
Specifikationer

Specifikationer

Bestrophin 1
Polyclonal
Unconjugated
BEST1
ARB; BEST; BEST 1; Best disease; best macular dystrophy; BEST1; Best1V1Delta2; bestrophin; bestrophin 1; Bestrophin1; Bestrophin-1; BMD; Bmd1; LOW QUALITY PROTEIN: bestrophin-1; mBest1; RP50; TU15B; vitelliform macular dystrophy (Best disease, bestrophin); vitelliform macular dystrophy 2 homolog; vitelliform macular dystrophy protein 2; Vitelliform macular dystrophy protein 2 homolog; VMD 2; Vmd2
Rabbit
Antigen affinity chromatography
RUO
7439
Store at 4°C short term. For long term storage, store at -20°C, avoiding freeze/thaw cycles.
Liquid
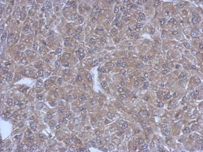
Immunohistochemistry (Paraffin), Western Blot
1 mg/mL
PBS with 1% BSA, 20% glycerol and 0.01% thimerosal; pH 7
O76090
BEST1
Recombinant protein encompassing a sequence within the Intracellular domain of human Bestrophin 1. The exact sequence is proprietary.
100 μL
Primary
Human
Antibody
IgG
Produktförslag

Produktförslag

Filmer
SDS
Dokument

Dokument

Certifikat
Kampanjer

Kampanjer

Korrigering av produktinnehåll

Din input är viktig för oss. Fyll i det här formuläret för att ge feedback relaterad till innehållet på denna produkt.

Produkttitel

Genom att klicka på Skicka bekräftar du att du kan bli kontaktad av Fisher Scientific angående feedbacken du har lämnat i detta formulär. Vi kommer inte att dela din information för andra ändamål. All kontaktinformation som tillhandahålls ska också underhållas i enlighet med vår Sekretesspolicy.

Tack! Din feedback har skickats. Fisher Scientific arbetar alltid för att förbättra vårt innehåll åt dig. Vi uppskattar din feedback.