missing translation for 'onlineSavingsMsg'
Learn More

Invitrogen™ BCL2L15 Monoclonal Antibody (K06343_5E8), Invitrogen™

Mouse Monoclonal Antibody

Brand:  Invitrogen™ MA556326

 View more versions of this product

Product Code. 30204483

  • £760.00 / 200µg

Please to purchase this item. Need a web account? Register with us today!

This item is not returnable. View return policy

Description

Description

Sequence of this protein is as follows: TECIVNTLLM DFLSPTLQVA SRNLCCVDEV DSGEPCSFDV AIIAGRLRML GDQFNGELEA SAKNVIAETI KGQTGAILQD TVESLSKTWC AQDSSLAYER AFLAVSVKLL EYMAHIAPEV VGQVAIPMTG MINGNQAIRE FIQGQGGWEN

Proteins of the Bcl-2 family are critical regulators of apoptosis. Proapoptotic members, like Bax, contain three of the four Bcl-2 homology regions (BH1-3), while BH3-only proteins, like Bim, possess only the short BH3 motif. Database searches revealed Bfk, an unusual novel member of the Bcl-2 family that contains a BH2 and BH3 region but not BH1 or BH4. Bfk is thus most closely related to Bcl-G(L). It lacks a C-terminal membrane anchor and is cytosolic. Enforced expression of Bfk weakly promoted apoptosis and antagonized Bcl-2's prosurvival function. Like Bcl-G(L), Bfk did not bind to any Bcl-2 family members, even though its BH3 motif can mediate association with prosurvival proteins. Low amounts of Bfk were found in stomach, ovary, bone marrow and spleen, but its level in the mammary gland rose markedly during pregnancy, suggesting that Bfk may play a role in mammary development.
TRUSTED_SUSTAINABILITY
Specifications

Specifications

BCL2L15
Monoclonal
1 mg/mL
PBS with 50% glycerol, 0.5% BSA and 0.09% sodium azide
Q5TBC7
BCL2L15
Recombinant human BCL2L15 (immunogen range is 11-160).
200 μL
Primary
Human
Antibody
IgG1
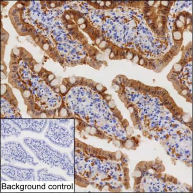
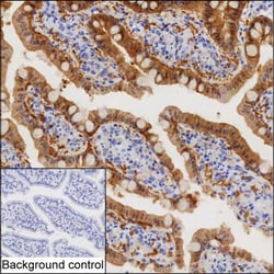
Immunohistochemistry (Paraffin), Immunoprecipitation, Western Blot
K06343_5E8
Unconjugated
BCL2L15
BCL2 like 15; BCL2L15; bcl2-L-15; BCL2-like 15; bcl-2-like protein 15; BCLl2-like 15; Bfk; C1orf178; Gm566; pro-apoptotic Bcl-2 protein; RGD1562344
Mouse
Protein A
RUO
440603
Store at 4°C short term. For long term storage, store at -20°C, avoiding freeze/thaw cycles.
Liquid
Product Suggestions

Product Suggestions

Videos
SDS
Documents

Documents

Certificates
Promotions

Promotions

Product Content Correction

Your input is important to us. Please complete this form to provide feedback related to the content on this product.

Product Title

By clicking Submit, you acknowledge that you may be contacted by Fisher Scientific in regards to the feedback you have provided in this form. We will not share your information for any other purposes. All contact information provided shall also be maintained in accordance with our Privacy Policy.

Thank You! Your feedback has been submitted. Fisher Scientific is always working to improve our content for you. We appreciate your feedback.