missing translation for 'onlineSavingsMsg'
Learn More
Learn More
Invitrogen™ BAP31 Recombinant Rabbit Monoclonal Antibody (12G12)

Rabbit Recombinant Monoclonal Antibody
Brand: Invitrogen™ MA550011
This item is not returnable.
View return policy
Description
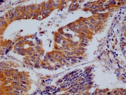
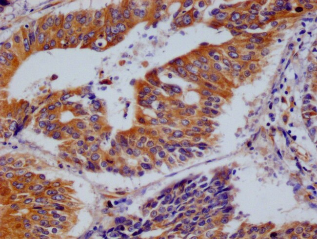
BAP31 Recombinant Monoclonal Antibody for Western Blot, ICC/IF, IHC (P), Flow, ELISA
BAP31 (B-Cell Receptor Associated Protein, 31-kDa) is a multiple membrane spanning protein of the endoplasmic reticulum. It has been shown to form both homo- and hetero-oligomers with the closely related BAP29, and is a potential apoptotic regulator as a predicted BCL-2/BCL-XL-associated protein. In the C-terminal domain of BAP31, there are two identical recognition sites for initiator Caspases 1 and 8 of the programmed death cascade. It is hypothesized that BAP31 plays a role in the transport of selected proteins to the Golgi apparatus. BAP31 has also been shown to control expression of CFTR (cystic fibrosis transmembrane conductance regulator). It is believed that interference with the expression or function of BAP31 in epithelial cells may be a way to circumvent the chloride channel defect in cystic fibrosis.
Specifications
| BAP31 | |
| Recombinant Monoclonal | |
| 1.2 mg/mL | |
| PBS with 50% glycerol and 0.02% sodium azide; pH 7.4 | |
| P51572 | |
| BCAP31 | |
| A synthesized peptide derived from human BCAP31. | |
| 100 μL | |
| Primary | |
| Human | |
| Antibody | |
| IgG |
| ELISA, Flow Cytometry, Immunohistochemistry (Paraffin), Western Blot, Immunocytochemistry | |
| 12G12 | |
| Unconjugated | |
| BCAP31 | |
| 6C6 antigen; 6C6-AG; 6C6-AG tumor-associated antigen; accessory protein BAP31; B cell receptor associated protein 31; BAP31; Bcap31; B-cell receptor-associated protein 31; BCR-associated protein 31; BCR-associated protein Bap31; CDM; CDM protein; DDCH; DXS1357E; hypothetical protein LOC533949; OTTHUMP00000025978; p28; p28 Bap31; Protein CDM | |
| Rabbit | |
| Affinity chromatography | |
| RUO | |
| 10134 | |
| -20°C or -80°C if preferred | |
| Liquid |
Product Content Correction
Your input is important to us. Please complete this form to provide feedback related to the content on this product.
Product Title
Spot an opportunity for improvement?Share a Content Correction