missing translation for 'onlineSavingsMsg'
Learn More

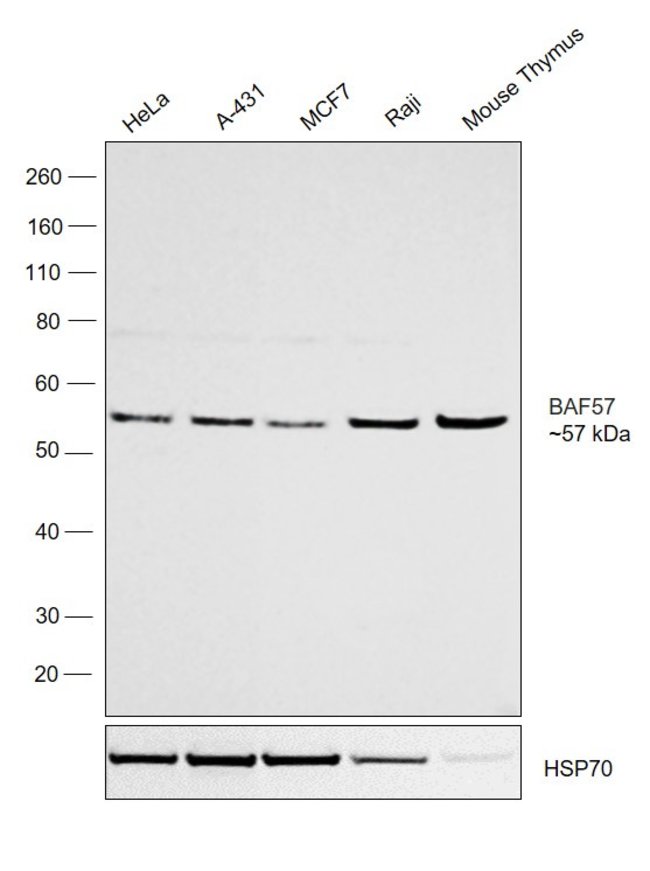
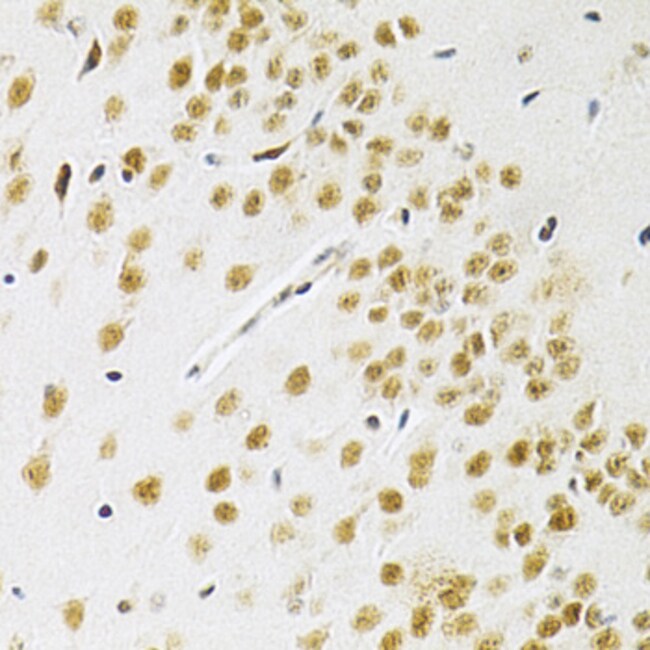
Invitrogen™ BAF57 Polyclonal Antibody
GREENER_CHOICE

Rabbit Polyclonal Antibody

Brand:  Invitrogen™ PA592420

Product Code. 16598241

  • £442.00 / 100µL

Please to purchase this item. Need a web account? Register with us today!

This item is not returnable. View return policy

Description

Description

Immunogen sequence: MSKRPSYAPP PTPAPATQMP STPGFVGYNP YSHLAYNNYR LGGNPGTNSR VTASSGITIP KPPKPPDKPL MPYMRYSRKV WDQVKASNPD LKLWEIGKII GGMWRDLTDE EKQEYLNEYE AEKIEYNESM KAYHNSPAYL AYINAKSRAE AALEEESRQR QSRMEKGEPY MSIQPAEDPD DYDDGFSMKH TATARFQRNH RLISEILSES VVPDVRSVVT TARMQVLKRQ VQSLMVHQRK LEAELLQIEE RHQEKKRKFL ESTDSFNNEL KRLCGLKVEV DMEKIAAEIA QAEEQARKRQ EEREKEAAEQ AERSQSSIVP EEEQAANKGE EKKDDENIPM ETEETHLEET TESQQNGEEG TSTPEDKESG QEGVDSMAEE GTSDSNTGSE SNSATVEEPP TDPIPEDEKK E; Positive Samples: U-251MG, Jurkat; Cellular Location: Nucleus.

The protein encoded by this gene is part of the large ATP-dependent chromatin remodeling complex SWI/SNF, which is required for transcriptional activation of genes normally repressed by chromatin. The encoded protein, either alone or when in the SWI/SNF complex, can bind to 4-way junction DNA, which is thought to mimic the topology of DNA as it enters or exits the nucleosome. The protein contains a DNA-binding HMG domain, but disruption of this domain does not abolish the DNA-binding or nucleosome-displacement activities of the SWI/SNF complex. Unlike most of the SWI/SNF complex proteins, this protein has no yeast counterpart.
TRUSTED_SUSTAINABILITY
Specifications

Specifications

BAF57
Polyclonal
Unconjugated
Smarce1
2810417B20Rik; 5830412H02Rik; 9030408N19Rik; Baf27; BAF57; BRG1-associated factor 57; chromatin remodeling complex BRG1-associated factor 57; CSS5; RGD1304726; SMARCE 1; Smarce1; SWI/SNF related, matrix associated, actin dependent regulator of chromatin, subfamily e, member 1; SWI/SNF-related matrix-associated actin-dependent regulator chromatin subfamily E member 1; SWI/SNF-related matrix-associated actin-dependent regulator of chromatin e1; SWI/SNF-related matrix-associated actin-dependent regulator of chromatin subfamily E member 1
Rabbit
Affinity Chromatography
RUO
57376, 6605
-20°C, Avoid Freeze/Thaw Cycles
Liquid
ELISA, Immunohistochemistry (Paraffin), Western Blot, Immunocytochemistry
0.2 mg/mL
PBS with 50% glycerol and 0.02% sodium azide; pH 7.3
O54941, Q969G3
Smarce1
Recombinant fusion protein containing a sequence corresponding to amino acids 1-411 of human BAF57/BAF57/SMARCE1 (NP_0030703).
100 μL
Primary
Human, Mouse
Antibody
IgG
Product Suggestions

Product Suggestions

Videos
SDS
Documents

Documents

Certificates
Promotions

Promotions

Product Content Correction

Your input is important to us. Please complete this form to provide feedback related to the content on this product.

Product Title

By clicking Submit, you acknowledge that you may be contacted by Fisher Scientific in regards to the feedback you have provided in this form. We will not share your information for any other purposes. All contact information provided shall also be maintained in accordance with our Privacy Policy.

Thank You! Your feedback has been submitted. Fisher Scientific is always working to improve our content for you. We appreciate your feedback.