missing translation for 'onlineSavingsMsg'
Learn More
Learn More
Invitrogen™ BAF53A Recombinant Rabbit Monoclonal Antibody (JU40-32)

Rabbit Recombinant Monoclonal Antibody
Brand: Invitrogen™ MA541247
This item is not returnable.
View return policy
Description
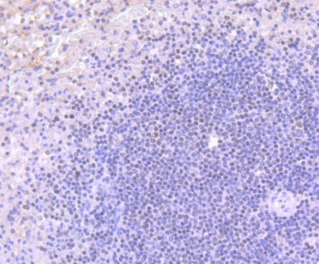
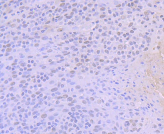
This product is predicted to work in Immunoprecipitation at a dilution of 1:10-1:50.
BAF53A is a family member of actin-related proteins (ARPs), which share significant amino acid sequence identity to conventional actins. Both actins and ARPs have an actin fold, which is an ATP-binding cleft, as a common feature. The ARPs are involved in diverse cellular processes, including vesicular transport, spindle orientation, nuclear migration and chromatin remodeling. This gene encodes a 53 kDa subunit protein of the BAF (BRG1/brm-associated factor) complex in mammals, which is functionally related to SWI/SNF complex in S. cerevisiae and Drosophila; the latter is thought to facilitate transcriptional activation of specific genes by antagonizing chromatin-mediated transcriptional repression. Together with beta-actin, it is required for maximal ATPase activity of BRG1, and for the association of the BAF complex with chromatin/matrix. Three transcript variants that encode two different protein isoforms have been described.
Specifications
| BAF53A | |
| Recombinant Monoclonal | |
| 1 mg/mL | |
| TBS with 0.05% BSA, 40% glycerol and 0.05% sodium azide; pH 7.4 | |
| O96019, Q9Z2N8 | |
| Actl6a | |
| Recombinant protein within Human ACTL6A aa 185-326. | |
| 100 μL | |
| Primary | |
| Human, Mouse | |
| Antibody | |
| IgG |
| Immunohistochemistry (Paraffin), Western Blot, Immunocytochemistry | |
| JU40-32 | |
| Unconjugated | |
| Actl6a | |
| 2810432C06Rik; 53 kDa BRG1-associated factor A; actin like 6A; actin-like 6; actin-like 6A; actin-like 6B; actin-like protein 6A; actin-related protein 4; actin-related protein Baf53a; Actl6; Actl6a; ACTL6B; AI851094; ARP4; ArpNbeta; ARPN-BETA; BAF complex 53 kDa subunit; BAF53; Baf53a; BAF53B; BRG1/brm-associated factor 53A; BRG1-associated factor 53A; C79802; hArpN alpha; hArpN beta; INO80 complex subunit K; INO80K; MGC5382; MGC5382 Arp4; RGD1307747 | |
| Rabbit | |
| Protein A | |
| RUO | |
| 56456, 86 | |
| Store at 4°C short term. For long term storage, store at -20°C, avoiding freeze/thaw cycles. | |
| Liquid |
Product Content Correction
Your input is important to us. Please complete this form to provide feedback related to the content on this product.
Product Title
Spot an opportunity for improvement?Share a Content Correction