missing translation for 'onlineSavingsMsg'
Learn More

B4GALT4 Rabbit, anti-Human, Polyclonal, Proteintech

Rabbit Polyclonal Antibody

Brand:  Proteintech 30478-1-AP-150UL

 View more versions of this product

Product Code. 18009885

  • £349.00 / 150µL

Please to purchase this item. Need a web account? Register with us today!

This item is not returnable. View return policy

Description

Description

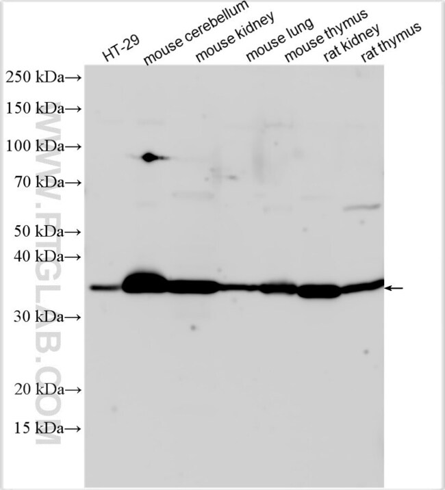
The B4GALT4 antibody from Proteintech is a rabbit polyclonal antibody generated with recombinant protein of human B4GALT4. This antibody recognizes human, mouse, rat antigen. The B4GALT4 antibody has been validated for the following applications: WB, ELISA analysis.

Specifications

Specifications

B4GALT4
400 μg/mL
Rabbit
Primary
Human, Mouse, Rat
150 kDa
IgG
Western Blot, ELISA
B4Gal T4, B4GALT4, Beta 1,4 GalTase 4, beta4Gal T4
150 μL
8702
Store at -20°C. Stable for one year after shipment.
Liquid
Product Suggestions

Product Suggestions

Videos
SDS
Documents

Documents

Certificates
Promotions

Promotions

Product Content Correction

Your input is important to us. Please complete this form to provide feedback related to the content on this product.

Product Title

By clicking Submit, you acknowledge that you may be contacted by Fisher Scientific in regards to the feedback you have provided in this form. We will not share your information for any other purposes. All contact information provided shall also be maintained in accordance with our Privacy Policy.

Thank You! Your feedback has been submitted. Fisher Scientific is always working to improve our content for you. We appreciate your feedback.