missing translation for 'onlineSavingsMsg'
Learn More
Learn More
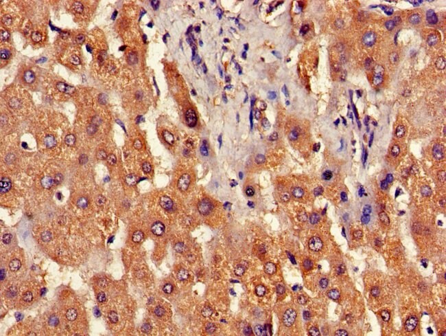
Invitrogen™ B3GNT2 Polyclonal Antibody

Rabbit Polyclonal Antibody
Brand: Invitrogen™ PA597494
This item is not returnable.
View return policy
Description
B3GNT2 Polyclonal Antibody for Western Blot, IHC (P), ELISA
This gene encodes a member of the beta-1,3-N-acetylglucosaminyltransferase family. This enzyme is a type II transmembrane protein. It prefers the substrate of lacto-N-neotetraose, and is involved in the biosynthesis of poly-N-acetyllactosamine chains.
Specifications
| B3GNT2 | |
| Polyclonal | |
| Unconjugated | |
| B3GNT2 | |
| 3-Gn-T1; 3-Gn-T2; 3-N-a; B3GALT7; B3GNT; B3GNT1; B3GN-T1; B3GNT2; B3GN-T2; B3GNT-2; beta-1; Beta-1,3-galactosyltransferase 7; Beta-1,3-GalTase 7; beta-1,3-Gn-T1; beta-1,3-Gn-T2; Beta-1,3-N-acetylglucosaminyltransferase 1; beta-1,3-N-acetylglucosaminyltransferase bGnT-1; beta-1,3-N-acetylglucosaminyltransferase bGnT-2; BETA3GNT; beta3Gn-T1; beta3Gn-T2; Beta-3-Gx-T7; BGnT-1; BGNT2; BGnT-2; N-acetyllactosaminide beta-1,3-N-acetylglucosaminyltransferase 2; UDP-Gal:beta-GlcNAc beta-1,3-galactosyltransferase 7; UDP-galactose:beta-N-acetylglucosamine beta-1,3-galactosyltransferase 7; UDP-GlcNAc:betaGal beta-1,3-N-acetylglucosaminyltransferase 1; UDP-GlcNAc:betaGal beta-1,3-N-acetylglucosaminyltransferase 2 | |
| Rabbit | |
| Protein G | |
| RUO | |
| 10678 | |
| -20°C or -80°C if preferred | |
| Liquid |
| ELISA, Immunohistochemistry (Paraffin), Western Blot | |
| 2 mg/mL | |
| PBS with 50% glycerol and 0.03% ProClin 300; pH 7.4 | |
| Q9NY97 | |
| B3GNT2 | |
| Recombinant Human N-acetyllactosaminide beta-1,3-N-acetylglucosaminyltransferase 2 protein (29-397AA). | |
| 100 μg | |
| Primary | |
| Human | |
| Antibody | |
| IgG |
Product Content Correction
Your input is important to us. Please complete this form to provide feedback related to the content on this product.
Product Title
Spot an opportunity for improvement?Share a Content Correction