missing translation for 'onlineSavingsMsg'
Learn More

B3GALT2 Antibody (1D9), Novus Biologicals™

Product Code. 18382899 Shop All Bio Techne Products
Change view
Click to view available options
Quantity:
0.1 mg
Unit Size:
0.01mg
1 product options available for selection
Product selection table with 1 available options. Use arrow keys to navigate and Enter or Space to select.
Product Code. Quantity unitSize
18382899 0.1 mg 0.01mg
Use arrow keys to navigate between rows. Press Enter or Space to select a product option. 1 options available.
1 options
This item is not returnable. View return policy
Product Code. 18382899 Supplier Novus Biologicals Supplier No. H00008707M03

Please to purchase this item. Need a web account? Register with us today!

This item is not returnable. View return policy

Mouse Monoclonal Antibody

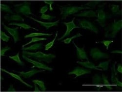
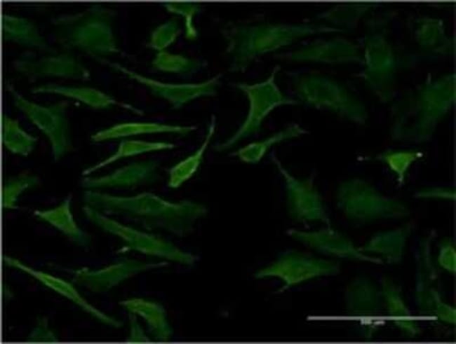
B3GALT2 Monoclonal antibody specifically detects B3GALT2 in Human samples. It is validated for ELISA, Immunocytochemistry/ Immunofluorescence
TRUSTED_SUSTAINABILITY

Specifications

Antigen B3GALT2
Applications ELISA, Immunocytochemistry
Classification Monoclonal
Clone 1D9
Conjugate Unconjugated
Formulation In 1x PBS, pH 7.4
Gene Accession No. NP_003774
Gene Alias beta-1,3-galactosyltransferase 2, Beta-1,3-GalTase 2, beta-3-galt2, beta3Gal-T2, Beta3GalT2, EC 2.4.1, EC 2.4.1.-, GLCT2, UDP-Gal:betaGlcNAc beta 1,3-galactosyltransferase, polypeptide 2, UDP-galactose:2-acetamido-2-deoxy-D-glucose 3beta-galactosyltransferase 2
Host Species Mouse
Immunogen B3GALT2 (NP_003774, 324 a.a. ~ 422 a.a) partial recombinant protein with GST tag. MW of the GST tag alone is 26 KDa. AEKIFKVSLGIRRLHLEDVYVGICLAKLRIDPVPPPNEFVFNHWRVSYSSCKYSHLITSHQFQPSELIKYWNHLQQNKHNACANAAKEKAGRYRHRKLH
Purification Method IgG purified
Quantity 0.1 mg
Regulatory Status RUO
Primary or Secondary Primary
Gene ID (Entrez) 8707
Target Species Human
Content And Storage Aliquot and store at -20°C or -80°C. Avoid freeze-thaw cycles.
Form Purified
Isotype IgG2a κ
Show More Show Less
Product Title
Select an issue

By clicking Submit, you acknowledge that you may be contacted by Fisher Scientific in regards to the feedback you have provided in this form. We will not share your information for any other purposes. All contact information provided shall also be maintained in accordance with our Privacy Policy.