missing translation for 'onlineSavingsMsg'
Learn More

AUTS2 Antibody, Novus Biologicals™

Product Code. 18400101 Shop All Bio Techne Products
Change view
Click to view available options
Quantity:
0.1 mL
25ul
Unit Size:
0.10mL
25µL
2 product options available for selection
Product selection table with 2 available options. Use arrow keys to navigate and Enter or Space to select.
Product Code. Quantity unitSize
18400101 25ul 25µL
18280498 0.1 mL 0.10mL
Use arrow keys to navigate between rows. Press Enter or Space to select a product option. 2 options available.
2 options
This item is not returnable. View return policy
Product Code. 18400101 Supplier Novus Biologicals Supplier No. NBP18471725ul

Please to purchase this item. Need a web account? Register with us today!

This item is not returnable. View return policy

Rabbit Polyclonal Antibody has been used in 4 publications

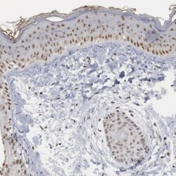
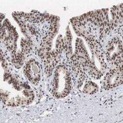
AUTS2 Polyclonal specifically detects AUTS2 in Human, Mouse samples. It is validated for Chromatin Immunoprecipitation, Immunohistochemistry, Immunocytochemistry/Immunofluorescence, Immunohistochemistry-Paraffin.
TRUSTED_SUSTAINABILITY

Specifications

Antigen AUTS2
Applications Immunohistochemistry, Immunocytochemistry, Immunofluorescence, Immunohistochemistry (Paraffin), ChIP Assay
Classification Polyclonal
Concentration 0.3mg/mL
Conjugate Unconjugated
Dilution Immunohistochemistry 1:200 - 1:500, Immunocytochemistry/Immunofluorescence 1 - 4 ug/ml, Immunohistochemistry-Paraffin 1:200-1:500, Chromatin Immunoprecipitation (ChIP)
Formulation PBS (pH 7.2) and 40% Glycerol with 0.02% Sodium Azide
Gene Alias autism susceptibility candidate 2, autism susceptibility gene 2 protein, autism-related protein 1, KIAA0442FBRSL2, MGC13140
Gene Symbols AUTS2
Host Species Rabbit
Immunogen This antibody was developed against Recombinant Protein corresponding to amino acids:NSSSSVHPGPLASMPMTVGVTGIHPMNSISSLDRTRMMTPFMGISPLPGGERFPYPSFHWDPIRDPLRDPYRELDIHRRDPLGRDFLLRNDPLHRLSTPRLYEADR
Purification Method Affinity Purified
Quantity 25ul
Regulatory Status RUO
Primary or Secondary Primary
Gene ID (Entrez) 26053
Test Specificity Specificity of antibody verified on a Protein Array containing target protein plus 383 other non-specific proteins.
Target Species Human, Mouse
Content And Storage Store at 4C short term. Aliquot and store at -20C long term. Avoid freeze-thaw cycles.
Isotype IgG
Show More Show Less

For Research Use Only

Product Title
Select an issue

By clicking Submit, you acknowledge that you may be contacted by Fisher Scientific in regards to the feedback you have provided in this form. We will not share your information for any other purposes. All contact information provided shall also be maintained in accordance with our Privacy Policy.