missing translation for 'onlineSavingsMsg'
Learn More
Learn More
Description
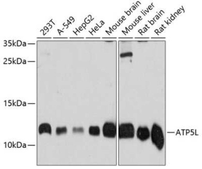
ATP5L Polyclonal antibody specifically detects ATP5L in Human, Mouse, Rat samples. It is validated for Western Blot
Specifications
Specifications
| Antigen | ATP5L |
| Applications | Western Blot |
| Classification | Polyclonal |
| Conjugate | Unconjugated |
| Dilution | Western Blot 1:500-1:2000 |
| Formulation | PBS with 50% glycerol, pH7.3. |
| Gene Alias | ATP synthase subunit g, mitochondrial, ATP synthase, H+ transporting, mitochondrial Fo complex, subunit G, ATP5JG |
| Host Species | Rabbit |
| Immunogen | Recombinant fusion protein containing a sequence corresponding to amino acids 1-103 of human ATP5L (NP_006467.4). MAQFVRNLVEKTPALVNAAVTYSKPRLATFWYYAKVELVPPTPAEIPRAIQSLKKIVNSAQTGSFKQLTVKEAVLNGLVATEVLMWFYVGEIIGKRGIIGYDV |
| Purification Method | Affinity purified |
| Show More |
Product Title
By clicking Submit, you acknowledge that you may be contacted by Fisher Scientific in regards to the feedback you have provided in this form. We will not share your information for any other purposes. All contact information provided shall also be maintained in accordance with our Privacy Policy.
Spot an opportunity for improvement?