missing translation for 'onlineSavingsMsg'
Learn More
Learn More
Invitrogen™ ATP12A Polyclonal Antibody

Rabbit Polyclonal Antibody
Brand: Invitrogen™ PA549624
This item is not returnable.
View return policy
Description
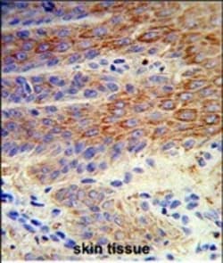
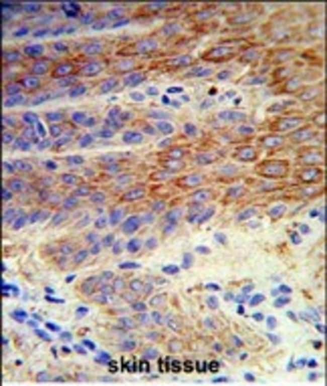
ATP12A Polyclonal Antibody for Western Blot, IHC (P), Flow
Catalyzes the hydrolysis of ATP coupled with the exchange of H(+) and K(+) ions across the plasma membrane. Responsible for potassium absorption in various tissues.
Specifications
| ATP12A | |
| Polyclonal | |
| Unconjugated | |
| ATP12A | |
| #945; ATP12A; ATP1AL1; ATPase H+/K+ transporting non-gastric alpha2 subunit; ATPase H+K+-transporting, alpha 2; ATPase, H+/K+ transporting, nongastric, alpha polypeptide; ATPase, Na+/K+ transporting, alpha polypeptide-like 1; cHKA; HK; HKalpha2; non-gastric H(+)/K(+) ATPase alpha subunit; non-gastric H(+)/K(+) ATPase subunit alpha; Potassium-transporting ATPase alpha chain 2; proton pump | |
| Rabbit | |
| Antigen affinity chromatography, Protein A | |
| RUO | |
| 479 | |
| Store at 4°C short term. For long term storage, store at -20°C, avoiding freeze/thaw cycles. | |
| Liquid |
| Flow Cytometry, Immunohistochemistry (Paraffin), Western Blot | |
| 0.5 mg/mL | |
| PBS with 0.09% sodium azide; pH 7.4 | |
| P54707 | |
| ATP12A | |
| KLH conjugated synthetic peptide between 833-859 amino acids from the Central region of human ATP12A. | |
| 400 μL | |
| Primary | |
| Human | |
| Antibody | |
| IgG |
Product Content Correction
Your input is important to us. Please complete this form to provide feedback related to the content on this product.
Product Title
Spot an opportunity for improvement?Share a Content Correction