missing translation for 'onlineSavingsMsg'
Learn More
Learn More
Invitrogen™ ATF5 Recombinant Rabbit Monoclonal Antibody (9Z3M0)

Rabbit Recombinant Monoclonal Antibody
Brand: Invitrogen™ MA538080
This item is not returnable.
View return policy
Description
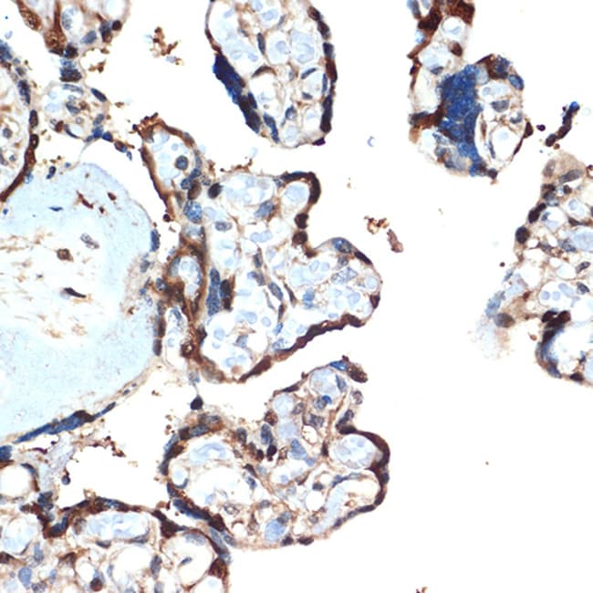
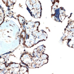
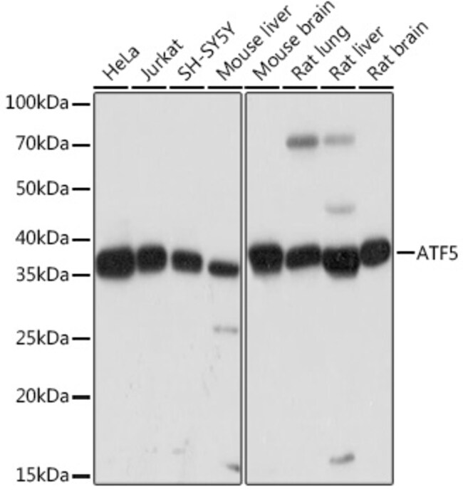
Positive Samples: HeLa, Jurkat, SH-SY5Y, Mouse liver, Mouse brain, Rat lung, Rat liver, Rat brain Immunogen sequence: PQQPPPPSPP QPSRLAPYPH PATTRGDRKQ KKRDQNKSAA LRYRQRKRAE GEALEGECQG LEARNRELKE RAESVEREIQ YVKDLLIEVY KARSQRTRSC.
ATF5 is a protein coding gene. Transcription factor that either stimulates or represses gene transcription through binding of different DNA regulatory elements such as cAMP response element (CRE) (consensus: 5'-GTGACGT[AC][AG]-3'), ATF5-specific response element (ARE) (consensus: 5'-C[CT]TCT[CT]CCTT[AT]-3') but also the amino acid response element (AARE), present in many viral and cellular promoters. Critically involved, often in a cell type-dependent manner, in cell survival, proliferation, and differentiation. Its transcriptional activity is enhanced by CCND3 and slightly inhibited by CDK4. Important regulator of the cerebral cortex formation, functions in cerebral cortical neuroprogenitor cells to maintain proliferation and to block differentiation into neurons. Must be down-regulated in order for such cells to exit the cycle and differentiate. Participates in the pathways by which SHH promotes cerebellar granule neuron progenitor cells proliferation. Critical for survival of mature olfactory sensory neurons (OSN), directs expression of OSN-specific genes. May be involved in osteogenic differentiation. Promotes cell proliferation and survival by inducing the expression of EGR1 sinergistically with ELK1. Once acetylated by EP300, binds to ARE sequences on target genes promoters, such as BCL2 and EGR1. Plays an anti-apoptotic role through the transcriptional regulation of BCL2, this function seems to be cell type-dependent. Cooperates with NR1I3/CAR in the transcriptional activation of CYP2B6 in liver. In hepatic cells, represses CRE-dependent transcription and inhibits proliferation by blocking at G2/M phase. May act as a negative regulator of IL1B transduction pathway in liver. Upon IL1B stimulus, cooperates with NLK to activate the transactivation activity of C/EBP subfamily members. Besides its function of transcription factor, acts as a cofactor of CEBPB to activate CEBPA and promote adipocyte differentiation. Regulates centrosome dynamics in a cell-cycle- and centriole-age-dependent manner. Forms 9-foci symmetrical ring scaffold around the mother centriole to control centrosome function and the interaction between centrioles and pericentriolar material.
Specifications
| ATF5 | |
| Recombinant Monoclonal | |
| 1.2 mg/mL | |
| PBS with 0.05% BSA, 50% glycerol and 0.02% sodium azide; pH 7.3 | |
| O70191, Q6P788, Q9Y2D1 | |
| Atf5 | |
| A synthetic peptide corresponding to a sequence within amino acids 183-282 of human ATF5 (Q9Y2D1). | |
| 100 μL | |
| Primary | |
| Human, Mouse, Rat | |
| Antibody | |
| IgG |
| ELISA, Immunohistochemistry (Paraffin), Western Blot | |
| 9Z3M0 | |
| Unconjugated | |
| Atf5 | |
| activating transcription factor 5; Activating transcription factor 5-alpha/beta; activating transcription factor 7; activating transcription factor X; AFTA; ATF5; Atf7; Atfx; BZIP protein ATF7; cAMP-dependent transcription factor ATF-5; Cyclic AMP-dependent transcription factor ATF-5; FLJ34666; HMFN0395; NAP1; NRIF3-associated protein; ODA-10; Transcription factor ATFx; transcription factor-like protein ODA-10 | |
| Rabbit | |
| Affinity chromatography | |
| RUO | |
| 107503, 22809, 282840 | |
| -20°C, Avoid Freeze/Thaw Cycles | |
| Liquid |
Product Content Correction
Your input is important to us. Please complete this form to provide feedback related to the content on this product.
Product Title
Spot an opportunity for improvement?Share a Content Correction