missing translation for 'onlineSavingsMsg'
Learn More
Learn More
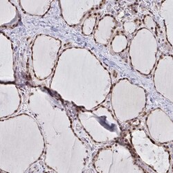
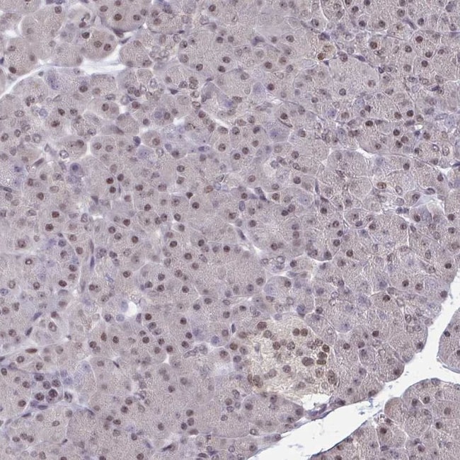
Invitrogen™ ATF1 Polyclonal Antibody

Rabbit Polyclonal Antibody
Brand: Invitrogen™ PA584236
This item is not returnable.
View return policy
Description
Immunogen sequence: MEDSHKSTTS ETAPQPGSAV QGAHISHIAQ QVSSLSESEE SQDSSDSIGS SQKAHGILAR RPSY Highest antigen sequence indentity to the following orthologs: Mouse - 84%, Rat - 86%.
This gene encodes an activating transcription factor, which belongs to the ATF subfamily and bZIP (basic-region leucine zipper) family. It influences cellular physiologic processes by regulating the expression of downstream target genes, which are related to growth, survival, and other cellular activities. This protein is phosphorylated at serine 63 in its kinase-inducible domain by serine/threonine kinases, cAMP-dependent protein kinase A, calmodulin-dependent protein kinase I/II, mitogen- and stress-activated protein kinase and cyclin-dependent kinase 3 (cdk-3). Its phosphorylation enhances its transactivation and transcriptional activities, and enhances cell transformation. Fusion of this gene and FUS on chromosome 16 or EWSR1 on chromosome 22 induced by translocation generates chimeric proteins in angiomatoid fibrous histiocytoma and clear cell sarcoma. This gene has a pseudogene on chromosome 6.
Specifications
| ATF1 | |
| Polyclonal | |
| Unconjugated | |
| ATF1 | |
| AATase 1; Activating transcription factor 1; alcohol O-acetyltransferase; Alcohol O-acetyltransferase 1; ATF1; Atf-1; cAMP-dependent transcription factor ATF-1; cyclic AMP-dependent transcription factor ATF-1; EWS-ATF1; FUS/ATF-1; Protein TREB36; TCR-ATF1; TREB36; Unknown (protein for MGC:64099); wu:fc92c07; YOR377W; zgc:64099 | |
| Rabbit | |
| Antigen affinity chromatography | |
| RUO | |
| 466 | |
| Store at 4°C short term. For long term storage, store at -20°C, avoiding freeze/thaw cycles. | |
| Liquid |
| Immunohistochemistry (Paraffin), Western Blot, Immunocytochemistry, Western Blot | |
| 0.05 mg/mL | |
| PBS with 40% glycerol and 0.02% sodium azide; pH 7.2 | |
| P18846 | |
| ATF1 | |
| Recombinant protein corresponding to Human ATF1. Recombinant protein control fragment (Product #RP-103207). | |
| 100 μL | |
| Primary | |
| Human | |
| Antibody | |
| IgG |
Product Content Correction
Your input is important to us. Please complete this form to provide feedback related to the content on this product.
Product Title
Spot an opportunity for improvement?Share a Content Correction