missing translation for 'onlineSavingsMsg'
Learn More
Learn More
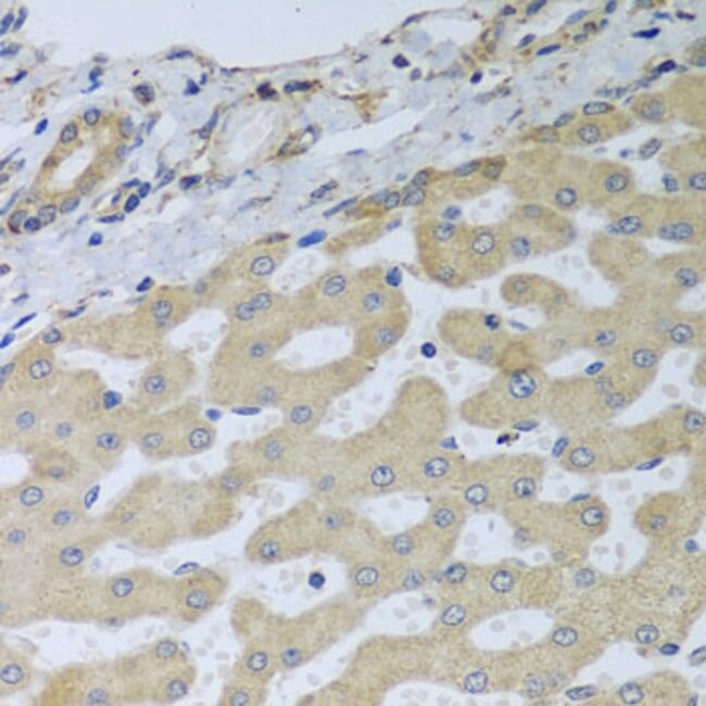
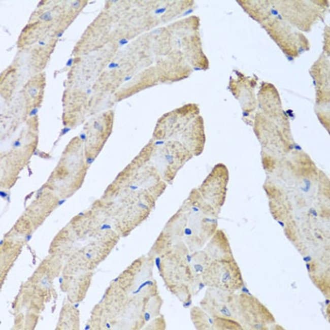
Invitrogen™ ATAD3B Polyclonal Antibody

Rabbit Polyclonal Antibody
Brand: Invitrogen™ PA576361
This item is not returnable.
View return policy
Description
The antibody was affinity-purified from rabbit antiserum by affinity-chromatography using epitope-specific immunogen and the purity is > 95% (by SDS-PAGE).
ATAD3B is a member of the AAA ATPase family, a family of proteins that catalyze ATP into ADP and are involved in several cellular functions such as cell-cycle regulation, protein proteolysis and transport. The AAA ATPase family is characterized by a highly conserved AAA motif containing Walker homology sequences and imparting ATPase activity. Mitochondrial membrane proteins ATAD3A/B contribute to the stabilization of nucleoids and may participate in the transformation pathway and the chemosensitivity of oligodendrogliomas. The gene encoding ATAD3A/B/C maps to human chromosome 1 and has been suggested to be an anti-apoptotic marker.
Specifications
| ATAD3B | |
| Polyclonal | |
| Unconjugated | |
| ATAD3B | |
| AAA-ATPase TOB3; AAA-TOB3; ATAD3B; ATPase family AAA domain-containing protein 3B; ATPase family, AAA domain containing 3B; KIAA1273; RP4-628J24.3; TOB3 | |
| Rabbit | |
| Antigen affinity chromatography | |
| RUO | |
| 83858 | |
| Store at 4°C short term. For long term storage, store at -20°C, avoiding freeze/thaw cycles. | |
| Liquid |
| Immunohistochemistry (Paraffin), Western Blot, Western Blot | |
| 1 mg/mL | |
| PBS with 50% glycerol and 0.02% sodium azide; pH 7.2 | |
| Q5T9A4 | |
| ATAD3B | |
| Recombinant fusion protein of human ATAD3B. | |
| 100 μL | |
| Primary | |
| Human, Mouse, Rat | |
| Antibody | |
| IgG |
Product Content Correction
Your input is important to us. Please complete this form to provide feedback related to the content on this product.
Product Title
Spot an opportunity for improvement?Share a Content Correction