Learn More
Invitrogen™ ASL Recombinant Mouse Monoclonal Antibody (KBL001_19F1)

Description
Immunogen sequence: MASESGKLWG GRFVGAVDPI MEKFNASIAY DRHLWEVDVQ GSKAYSRGLE KAGLLTKAEM DQILHGLDKV AEEWAQGTFK LNSNDEDIHT ANERRLKELI GATAGKLHTG RSRNDQVVTD LRLWMRQTCS TLSGLLWELI RTMVDRAEAE RDVLFPGYTH LQRAQPIRWS HWILSHAVAL TRDSERLLEV RKRINVLPLG SGAIAGNPLG VDRELLRAEL NFGAITLNSM DATSERDFVA EFLFWASLCM THLSRMAEDL ILYCTKEFSF VQLSDAYSTG SSLMPQKKNP DSLELIRSKA GRVFGRCAGL LMTLKGLPST YNKDLQEDKE AVFEVSDTMS AVLQVATGVI STLQIHQENM GQALSPDMLA TDLAYYLVRK GMPFRQAHEA SGKAVFMAET KGVALNQLSL QELQTISPLF SGDVICVWDY GHSVEQYGAL GGTARSSVDW QIRQVRALLQ AQQA Highest antigen sequence identity to the following orthologs: Mouse - 94%, Rat - 90%, Pig - 95%, Cynomolgus monkey - 98%.
Specifications
Specifications
| Antigen | ASL |
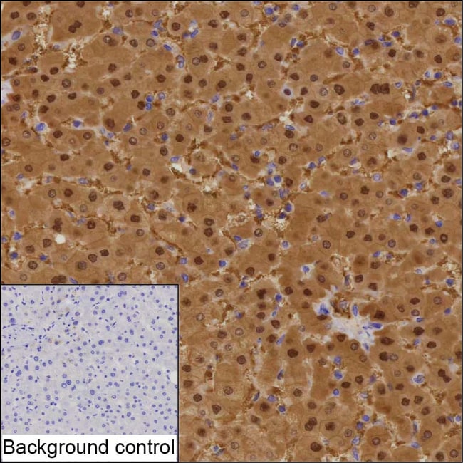
| Applications | Immunohistochemistry (Paraffin), Immunoprecipitation, Western Blot |
| Classification | Recombinant Monoclonal |
| Clone | KBL001_19F1 |
| Concentration | 1 mg/mL |
| Conjugate | Unconjugated |
| Formulation | PBS with 50% glycerol, 0.5% BSA and 0.09% sodium azide |
| Gene | ASL |
| Gene Accession No. | P04424 |
| Gene Alias | 2510006M18Rik; argininosuccinase; argininosuccinate lyase; Arginosuccinase; ASAL; Asl |
| Show More |
By clicking Submit, you acknowledge that you may be contacted by Fisher Scientific in regards to the feedback you have provided in this form. We will not share your information for any other purposes. All contact information provided shall also be maintained in accordance with our Privacy Policy.