missing translation for 'onlineSavingsMsg'
Learn More
Learn More
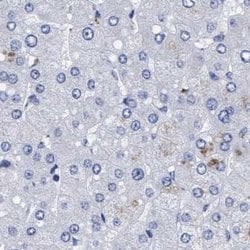
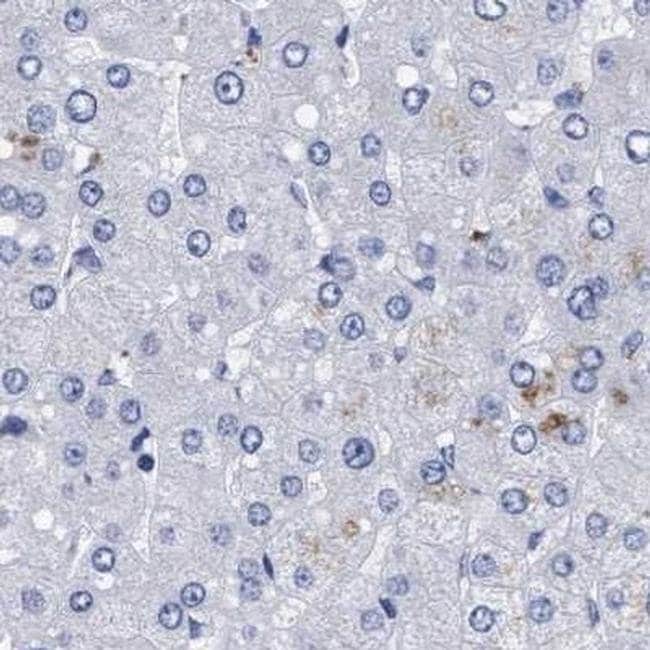
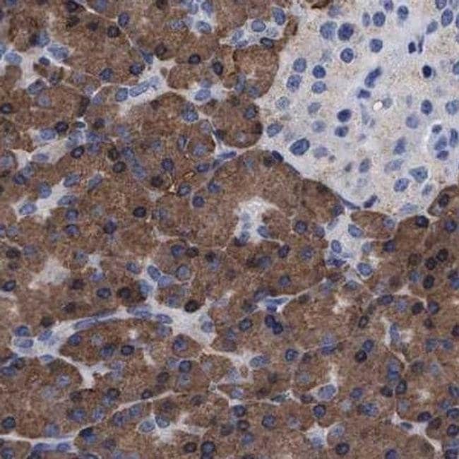
Invitrogen™ Arylsulfatase G Polyclonal Antibody

Rabbit Polyclonal Antibody
Brand: Invitrogen™ PA554746
This item is not returnable.
View return policy
Description
Immunogen sequence: RVPVNVTSTA LLSVLDIFPT VVALAQASLP QGRHFDGVDV SEVLFGRSQP GHRVLFHPNS GAAGEFGALQ TVR Highest antigen sequence identity to the following orthologs: Mouse - 85%, Rat - 88%.
Sulfatases, such as ARSG, hydrolyze sulfate esters from sulfated steroids, carbohydrates, proteoglycans, and glycolipids. They are involved in hormone biosynthesis, modulation of cell signaling, and degradation of macromolecules. This gene, a novel arylsulfatase, has activity toward pseudosubstrates including p-nitrocatechol sulfate and 4-methylumbelliferyl sulfate. Activity is competitively inhibited by phosphate. The unprocessed protein is active as a 63-kDa monomer and demonstrates an acidic pH optimum as typically seen for lysosomal sulfatases. The protein accumulates within lysosomes and is also a glycoprotein that binds specifically to mannose 6-phosphate receptors.
Specifications
| Arylsulfatase G | |
| Polyclonal | |
| Unconjugated | |
| ARSG | |
| 6330406P08Rik; AI846872; Arsg; Arylsulfatase G; ASG; KIAA1001; RGD1306571; UNQ839/PRO1777 | |
| Rabbit | |
| Antigen affinity chromatography | |
| RUO | |
| 22901 | |
| Store at 4°C short term. For long term storage, store at -20°C, avoiding freeze/thaw cycles. | |
| Liquid |
| Immunohistochemistry (Paraffin) | |
| 0.2 mg/mL | |
| PBS with 40% glycerol and 0.02% sodium azide; pH 7.2 | |
| Q96EG1 | |
| ARSG | |
| Recombinant protein corresponding to Human Arylsulfatase G. Recombinant protein control fragment (Product #RP-93288). | |
| 100 μL | |
| Primary | |
| Human | |
| Antibody | |
| IgG |
Product Content Correction
Your input is important to us. Please complete this form to provide feedback related to the content on this product.
Product Title
Spot an opportunity for improvement?Share a Content Correction