missing translation for 'onlineSavingsMsg'
Learn More
Learn More
Invitrogen™ Arylsulfatase A Polyclonal Antibody

Rabbit Polyclonal Antibody
Brand: Invitrogen™ PA5118848
This item is not returnable.
View return policy
Description
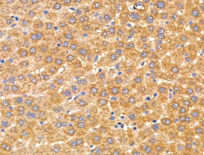
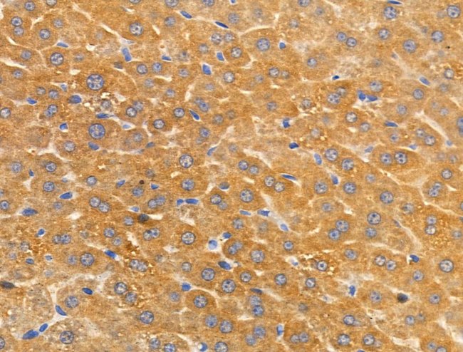
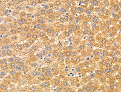
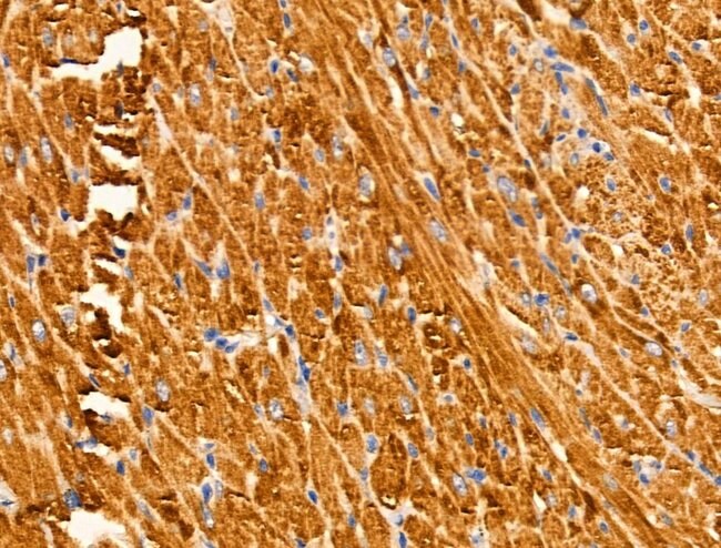
Antibody detects endogenous levels of total ARSA.
The protein encoded by this gene hydrolyzes cerebroside sulfate to cerebroside and sulfate. Defects in this gene lead to metachromatic leucodystrophy, a progressive demyelination disease which results in a variety of neurological symptoms and ultimately death. Alternatively spliced transcript variants have been described for this gene.
Specifications
| Arylsulfatase A | |
| Polyclonal | |
| Unconjugated | |
| ARSA | |
| ARSA; ARSA1; ARSA-I; Arylsulfatase A; Arylsulfatase A component B; Arylsulfatase A component C; As2; As-2; ASA; AS-A; ASNA-I; ATPase ASNA1; AW212749; cerebroside-sulfatase; EC 3.1.6.8; GET3; hASNA-I; MLD; TISP73; TRC40 | |
| Rabbit | |
| Affinity chromatography | |
| RUO | |
| 11883, 315222, 410 | |
| -20°C | |
| Liquid |
| Immunohistochemistry (Paraffin), Western Blot, Immunocytochemistry | |
| 1 mg/mL | |
| PBS with 50% glycerol and 0.02% sodium azide; pH 7.4 | |
| P15289, P50428 | |
| ARSA | |
| A synthesized peptide derived from human ARSA(Accession P15289), corresponding to amino acid residues V258-G308. | |
| 100 μL | |
| Primary | |
| Human, Mouse, Rat | |
| Antibody | |
| IgG |
Product Content Correction
Your input is important to us. Please complete this form to provide feedback related to the content on this product.
Product Title
Spot an opportunity for improvement?Share a Content Correction