missing translation for 'onlineSavingsMsg'
Learn More
Learn More
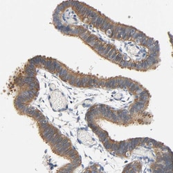
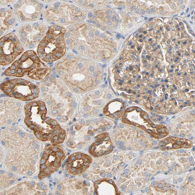
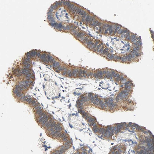
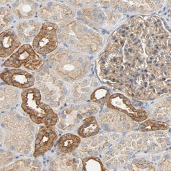
Invitrogen™ ARPC1A Polyclonal Antibody

Rabbit Polyclonal Antibody
Brand: Invitrogen™ PA582149
This item is not returnable.
View return policy
Description
Immunogen sequence: HGVSFSASGS RLAWVSHDST VSVADASKSV QVSTLKTEFL PLLSVSFVSE NSVVAAGHDC CPMLFNYDDR GCLTFVSKLD IPKQSIQRNM SAMERFRNMD KRATTEDRNT ALETLHQNSI TQVSIYEVDK QDCRKFCTTG I Highest antigen sequence indentity to the following orthologs: Rat - 84%, Mouse - 98%.
ARPC1A is one of seven subunits of the human Arp2/3 protein complex. This subunit is a member of the SOP2 family of proteins and is most similar to the protein ARPC1B. The similarity between these two proteins suggests that they both may function as p41 subunit of the human Arp2/3 complex that has been implicated in the control of actin polymerization in cells. It is possible that the p41 subunit is involved in assembling and maintaining the structure of the Arp2/3 complex. Multiple versions of the p41 subunit may adapt the functions of the complex to different cell types or developmental stages.
Specifications
| ARPC1A | |
| Polyclonal | |
| Unconjugated | |
| ARPC1A | |
| 0610010H08Rik; 1110030K07Rik; 41kDa; AA407347; actin binding protein (Schizosaccharomyces pombe sop2-like); actin related protein 2/3 complex subunit 1A; actin related protein 2/3 complex subunit 1A, 41kDa; actin related protein 2/3 complex, subunit 1A; actin related protein 2/3 complex, subunit 1A, 41kDa; actin-related protein 2/3 complex subunit 1A; ARC1A; Arc40; Arpc1a; epididymis luminal protein 68; epididymis secretory protein Li 307; HEL-68; HEL-S-307; Sid 329; Sid32; Sid329; SOP2Hs; SOP2L; SOP2-like protein; suppressor of profilin/p41 of actin-related complex 2/3 | |
| Rabbit | |
| Antigen affinity chromatography | |
| RUO | |
| 10552 | |
| Store at 4°C short term. For long term storage, store at -20°C, avoiding freeze/thaw cycles. | |
| Liquid |
| Immunohistochemistry (Paraffin), Western Blot, Immunocytochemistry | |
| 0.1 mg/mL | |
| PBS with 40% glycerol and 0.02% sodium azide; pH 7.2 | |
| Q92747 | |
| ARPC1A | |
| Recombinant protein corresponding to Human ARPC1A. Recombinant protein control fragment (Product #RP-102359). | |
| 100 μL | |
| Primary | |
| Human | |
| Antibody | |
| IgG |
Product Content Correction
Your input is important to us. Please complete this form to provide feedback related to the content on this product.
Product Title
Spot an opportunity for improvement?Share a Content Correction