missing translation for 'onlineSavingsMsg'
Learn More
Learn More
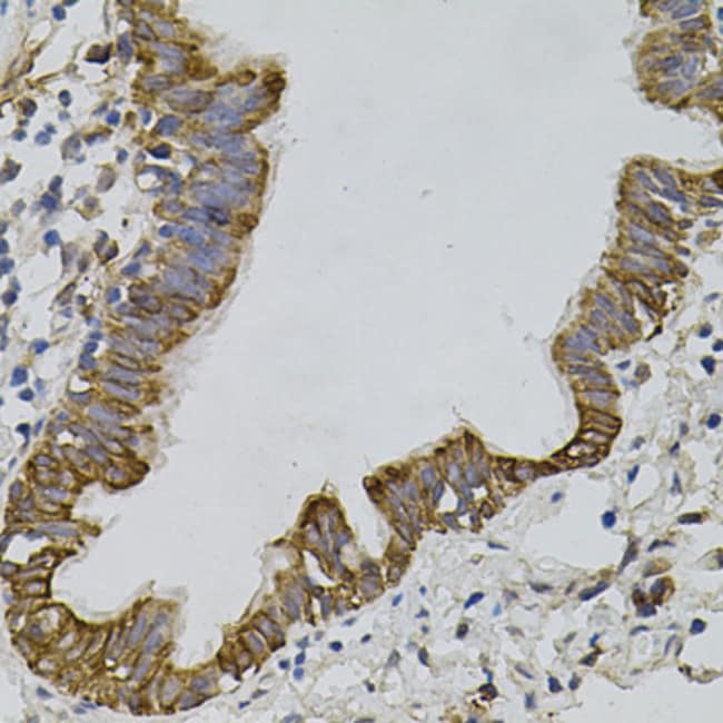
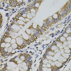
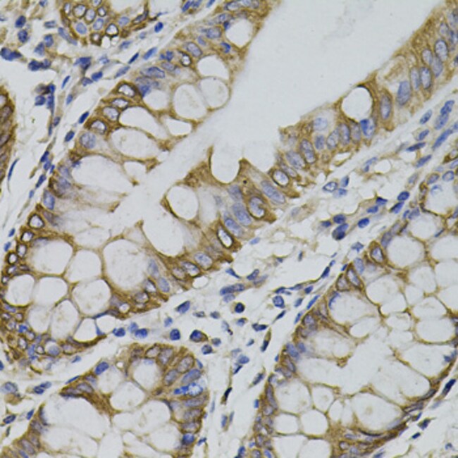
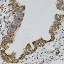
Invitrogen™ ARHGEF11 Polyclonal Antibody

Rabbit Polyclonal Antibody
Brand: Invitrogen™ PA5109409
This item is not returnable.
View return policy
Description
Immunogen sequence: MSVRLPQSID RLSSLSSLGD SAPERKSPSH HRQPSDASET TGLVQRCVII QKDQHGFGFT VSGDRIVLVQ SVRPGGAAMK AGVKEGDRII KVNGTMVTNS.
ARHGEF11 is a 1527 amino acid protein with tandem dbl homology and pleckstrin homology domains, PDZ domain, two proline rich sequences and a regulatory G protein-signaling (RGS) sequence. It acts as guanine nucleotide exchange factor (GEF) for RhoA GTPase, but not for RAC1 or CDC42 and acts as GTPase-activating protein (GAP) for GNA12 and GNA13. It forms a complex with G proteins and stimulates neurite through retraction Rho-dependent signals. ARHGEF11 increases glutamate transport 4-fold. It interacts with EAAT4 and modulates its uptake activity and perisynaptic distribution at glutamatergic synapses. It is known to induce the reorganization of the actin cytoskeleton and its overexpression induces the formation of membrane ruffling and filopodia. It is ubiquitously expressed, in brain, lung, liver, kidney and skeletal muscle.
Specifications
| ARHGEF11 | |
| Polyclonal | |
| Unconjugated | |
| ARHGEF11 | |
| Arhgef11; B930073M02; E130307F09; glutamate transporter EAAT4 associated protein 48; glutamate transporter EAAT4-associated protein 48; Gtrap48; KIAA0380; mKIAA0380; PDZ-RhoGEF; Prg; Rho guanine exchange factor (GEF) 11; Rho guanine nucleotide exchange factor (GEF) 11; rho guanine nucleotide exchange factor 11; RhoA-specific guanine nucleotide exchange factor; RhoGEF; RhoGEF glutamate transport modulator; RhoGEF glutamate transport modulator GTRAP48; RP11-356J7.2 | |
| Rabbit | |
| Affinity Chromatography | |
| RUO | |
| 213498, 9826 | |
| -20°C, Avoid Freeze/Thaw Cycles | |
| Liquid |
| ELISA, Immunohistochemistry (Paraffin), Western Blot | |
| 0.61 mg/mL | |
| PBS with 50% glycerol and 0.05% ProClin 300; pH 7.3 | |
| O15085 | |
| ARHGEF11 | |
| A synthetic peptide corresponding to a sequence within amino acids 1-100 of human ARHGEF11 (O15085). | |
| 100 μL | |
| Primary | |
| Human, Mouse | |
| Antibody | |
| IgG |
Product Content Correction
Your input is important to us. Please complete this form to provide feedback related to the content on this product.
Product Title
Spot an opportunity for improvement?Share a Content Correction