missing translation for 'onlineSavingsMsg'
Learn More
Learn More
Invitrogen™ ARHGAP6 Polyclonal Antibody

Rabbit Polyclonal Antibody
Brand: Invitrogen™ PA5104106
This item is not returnable.
View return policy
Description
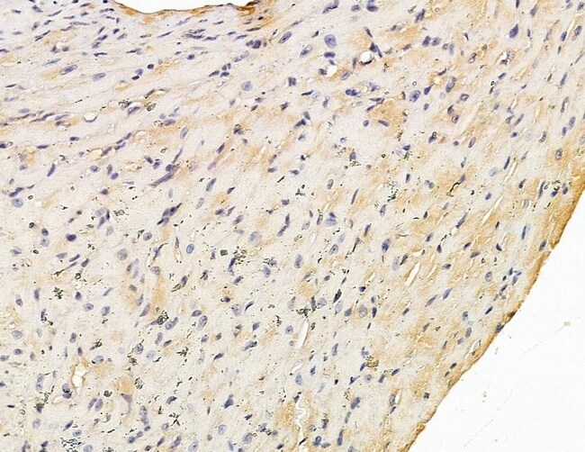
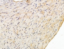
Antibody detects endogenous levels of total RHG6.
This gene encodes a member of the rhoGAP family of proteins which play a role in the regulation of actin polymerization at the plasma membrane during several cellular processes. This protein is thought to have two independent functions, one as a GTPase-activating protein with specificity for RhoA, and another as a cytoskeletal protein that promotes actin remodeling. Multiple alternatively spliced transcript variants encoding different isoforms have been found for this gene.
Specifications
| ARHGAP6 | |
| Polyclonal | |
| Unconjugated | |
| ARHGAP6 | |
| AI504284; Arhgap6; Rho GTPase activating protein 6; rho GTPase-activating protein 6; RHOGAP6; RHOGAPX-1; Rho-type GTPase-activating protein 6; rho-type GTPase-activating protein RhoGAPX-1 | |
| Rabbit | |
| Affinity chromatography | |
| RUO | |
| 100363276, 11856, 395 | |
| -20°C | |
| Liquid |
| Immunohistochemistry (Paraffin), Western Blot, Immunocytochemistry | |
| 1 mg/mL | |
| PBS with 50% glycerol and 0.02% sodium azide; pH 7.4 | |
| O43182, O54834 | |
| ARHGAP6 | |
| A synthesized peptide derived from human ARHGAP6(Accession O43182), corresponding to amino acid residues G724-G774. | |
| 100 μL | |
| Primary | |
| Human, Mouse, Rat | |
| Antibody | |
| IgG |
Product Content Correction
Your input is important to us. Please complete this form to provide feedback related to the content on this product.
Product Title
Spot an opportunity for improvement?Share a Content Correction