missing translation for 'onlineSavingsMsg'
Learn More
Learn More
Invitrogen™ Arginase 2 Monoclonal Antibody (GT11111)

Mouse Monoclonal Antibody
Brand: Invitrogen™ MA527815
This item is not returnable.
View return policy
Description
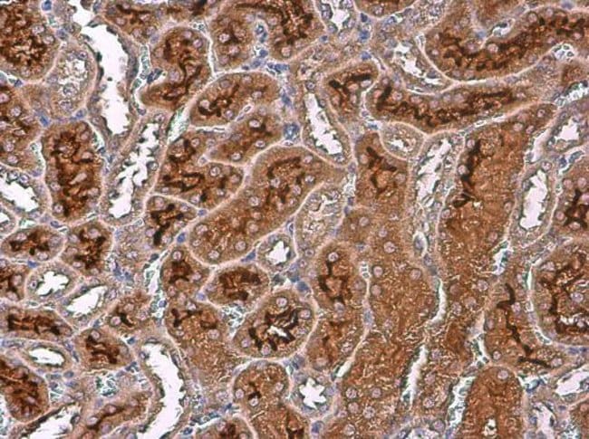
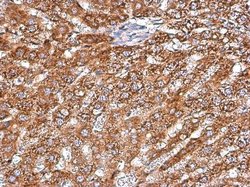
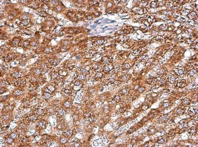
Positive Control: mouse kidney Predicted Reactivity: Human (100%), Dog (85%), Rabbit (90%), Chicken (81%), Rhesus Monkey (99%), Bovine (93%) Store product as a concentrated solution. Centrifuge briefly prior to opening the vial.
Arginase catalyzes the hydrolysis of arginine to ornithine and urea. At least two isoforms of mammalian arginase exists (types I and II) which differ in their tissue distribution, subcellular localization, immunologic crossreactivity and physiologic function. The type II isoform encoded by this gene, is located in the mitochondria and expressed in extra-hepatic tissues, especially kidney. The physiologic role of this isoform is poorly understood; it is thought to play a role in nitric oxide and polyamine metabolism. Transcript variants of the type II gene resulting from the use of alternative polyadenylation sites have been described.
Specifications
| Arginase 2 | |
| Monoclonal | |
| 1 mg/mL | |
| PBS with no preservative | |
| O08691, O08701, P78540 | |
| ARG2 | |
| Recombinant protein encompassing a sequence within the center region of human ARG2. The exact sequence is proprietary. | |
| 100 μL | |
| Primary | |
| Human, Mouse, Rat | |
| Antibody | |
| IgG1 |
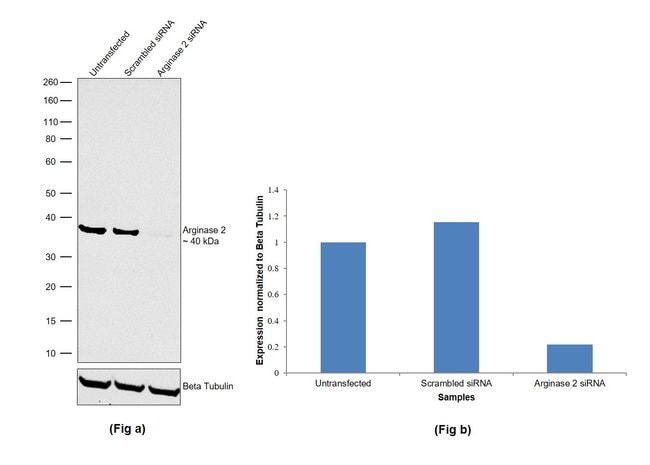
| Immunohistochemistry (Paraffin), Western Blot | |
| GT11111 | |
| Unconjugated | |
| ARG2 | |
| AII; AII type II arginase; ARG2; arginase 2; arginase II; arginase type II; arginase, type II; arginase-2, mitochondrial; AU022422; kidney arginase; kidney-type arginase; L-arginine amidinohydrolase; L-arginine ureahydrolase; nonhepatic arginase; non-hepatic arginase; type II arginase | |
| Mouse | |
| Protein G | |
| RUO | |
| 11847, 29215, 384 | |
| Store at 4°C short term. For long term storage, store at -20°C, avoiding freeze/thaw cycles. | |
| Liquid |
Product Content Correction
Your input is important to us. Please complete this form to provide feedback related to the content on this product.
Product Title
Spot an opportunity for improvement?Share a Content Correction