missing translation for 'onlineSavingsMsg'
Learn More
Learn More
Invitrogen™ Arginase 1 Polyclonal Antibody

Rabbit Polyclonal Antibody
Brand: Invitrogen™ PA529645
This item is not returnable.
View return policy
Description
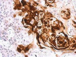
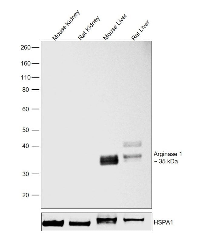
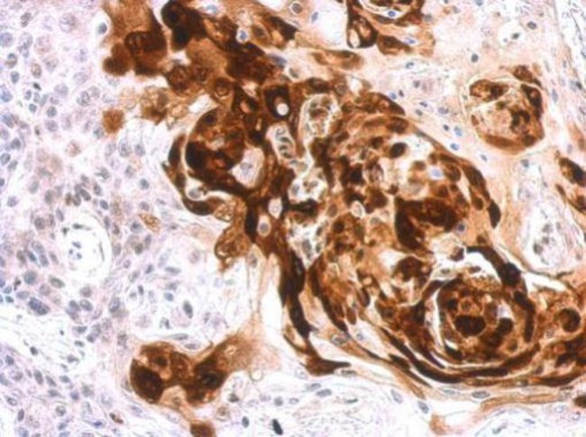
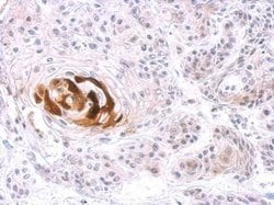
Recommended positive controls: Mouse liver, rat liver. Predicted reactivity: Mouse (85%), Rat (83%), Pig (90%), Rabbit (90%), Bovine (89%). Store product as a concentrated solution. Centrifuge briefly prior to opening the vial.
Arginase-1 (Arg1) is a 35 kDa enzyme converting L-arginine to urea and L-ornithine, which is the final step in the urea cycle. The resulting polyamines are important for cell proliferation and removal of toxins that arise from protein degradation. By degrading arginine, Arginase 1 deprives NO synthase of its substrate and down-regulates nitric oxide production. In both human and mouse, Arginase 1 is expressed in the liver, neutrophils, myeloid derived suppressor cells (MDSC) and neural stem cells. In human, expression in blood neutrophils but not in CCR3+ granulocytes has been reported. In mice, expression of Arginase 1 is one of the hallmarks of alternatively activated macrophages (M2a). Arginase-1 may be expressed in the myeloid cells infiltrating tumors, and is typically found in the majority of hepatocellular carcinomas. Defects in Arginase 1 are the cause of argininemia, an autosomal recessive disorder characterized by hyperammonemia.
Specifications
| Arginase 1 | |
| Polyclonal | |
| Unconjugated | |
| ARG1 | |
| AI; A-I; AI type I arginase; AI256583; Arg1; Arg-1; Arginase; arginase 1; arginase 1 liver; arginase 1, liver; arginase I; arginase, liver; Arginase1; arginase-1; HGNC:663; Liver Arginase; Liver-type arginase; PGIF; similar to arginase, type I; Type 1 Arginase; type I arginase | |
| Rabbit | |
| Antigen affinity chromatography | |
| RUO | |
| 11846, 29221, 383 | |
| Store at 4°C short term. For long term storage, store at -20°C, avoiding freeze/thaw cycles. | |
| Liquid |
| ELISA, Immunohistochemistry (Paraffin), Western Blot, Immunocytochemistry | |
| 0.41 mg/mL | |
| PBS with 20% glycerol, 1% BSA and 0.025% ProClin 300; pH 7 | |
| P05089, P07824, Q61176 | |
| ARG1 | |
| Recombinant protein encompassing a sequence within the center region of human Arginase 1. The exact sequence is proprietary. | |
| 100 μL | |
| Primary | |
| Human, Mouse, Rat | |
| Antibody | |
| IgG |
Product Content Correction
Your input is important to us. Please complete this form to provide feedback related to the content on this product.
Product Title
Spot an opportunity for improvement?Share a Content Correction