missing translation for 'onlineSavingsMsg'
Learn More

Aquaporin 7 Polyclonal Antibody, Invitrogen™

Rabbit Polyclonal Antibody

Brand:  Invitrogen PA577712

Product Code. 15954215

This item is currently unavailable or has been discontinued.
View the product page for possible alternatives.
View alternative products »

This item is not returnable. View return policy

Description

Description

Product is shipped at room temperature as a lyophilized powder and should be stored at -20C upon receipt. Reconstitute using 50 uL deionized water.

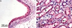
Aquaporins/major intrinsic protein (MIP) are a family of water-selective membrane channels. Aquaporin 7 has greater sequence similarity with AQP3 and AQP9 and they may be a subfamily. Aquaporin 7 and AQP3 are at the same chromosomal location suggesting that 9p13 may be a site of an aquaporin cluster. Aquaporin 7 facilitates water, glycerol and urea transport. It may play an important role in sperm function.
TRUSTED_SUSTAINABILITY
Specifications

Specifications

Aquaporin 7
Polyclonal
Unconjugated
Aqp7
AQP7
Rabbit
Antigen affinity chromatography
RUO
11832, 29171
-20°C
Lyophilized
Immunocytochemistry, Immunofluorescence, Immunohistochemistry, Western Blot
0.8 mg/mL
PBS with 1% BSA and 0.05% sodium azide; pH 7.4
O54794, P56403
Aqp7
Peptide corresponding to amino acid residues 7-24 of rat AQP-7
50 μL
Primary
Mouse, Rat
Antibody
IgG
Product Suggestions

Product Suggestions

Videos
SDS
Documents

Documents

Certificates
Promotions

Promotions

Product Content Correction

Your input is important to us. Please complete this form to provide feedback related to the content on this product.

Product Title

By clicking Submit, you acknowledge that you may be contacted by Fisher Scientific in regards to the feedback you have provided in this form. We will not share your information for any other purposes. All contact information provided shall also be maintained in accordance with our Privacy Policy.

Thank You! Your feedback has been submitted. Fisher Scientific is always working to improve our content for you. We appreciate your feedback.