Learn More
Invitrogen™ AQR Polyclonal Antibody

Rabbit Polyclonal Antibody
Brand: Invitrogen™ PA5109403
Description
Immunogen sequence: KEFLLELLVS RHERRISQIQ QLNQMPLYPT EKIIWDENIV PTEYYSGEGC LALPKLNLQF LTLHDYLLRN FNLFRLESTY EIRQDIEDSV SRMKPWQSEY GGVVFGGWAR MAQPIVAFTV VEVAKPNIGE NWPTRVRADV TINLNVRDHI KDEWEGLRKH DVCFLITVRP TKPYGTKFDR RRPFIEQVGL VYVRGCEIQG MLDDKGRVIE DGPEPRPNLR GESRTFRVFL DPNQYQQDMT NTIQNGAEDV YETFNIIMRR KPKENNFKAV LETIRNLMNT DCVVPDWLHD IILGYGDPSS A.
Involved in pre-mRNA splicing as component of the spliceosome (PubMed:11991638, PubMed:25599396, PubMed:28502770, PubMed:28076346). Intron-binding spliceosomal protein required to link pre-mRNA splicing and snoRNP (small nucleolar ribonucleoprotein) biogenesis (PubMed:16949364). Plays a key role in position-dependent assembly of intron-encoded box C/D small snoRNP, splicing being required for snoRNP assembly (PubMed:16949364). May act by helping the folding of the snoRNA sequence. Binds to intron of pre-mRNAs in a sequence-independent manner, contacting the region between snoRNA and the branchpoint of introns (40 nucleotides upstream of the branchpoint) during the late stages of splicing (PubMed:16949364). Has ATP-dependent RNA helicase activity and can unwind double-stranded RNA molecules with a 3' overhang (in vitro) (PubMed:25599396). [UniProt].
Specifications
| AQR | |
| Polyclonal | |
| Unconjugated | |
| AQR | |
| Aqr; aquarius; aquarius homolog; aquarius intron-binding spliceosomal factor; AW495846; fSAP164; functional spliceosome-associated protein 164; IBP160; intron-binding protein aquarius; intron-binding protein of 160 kDa; Kiaa0560; mKIAA0560; RNA helicase aquarius | |
| Rabbit | |
| Affinity chromatography | |
| RUO | |
| 11834, 366163, 9716 | |
| -20°C, Avoid Freeze/Thaw Cycles | |
| Liquid |
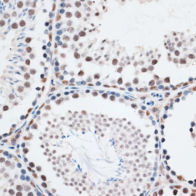
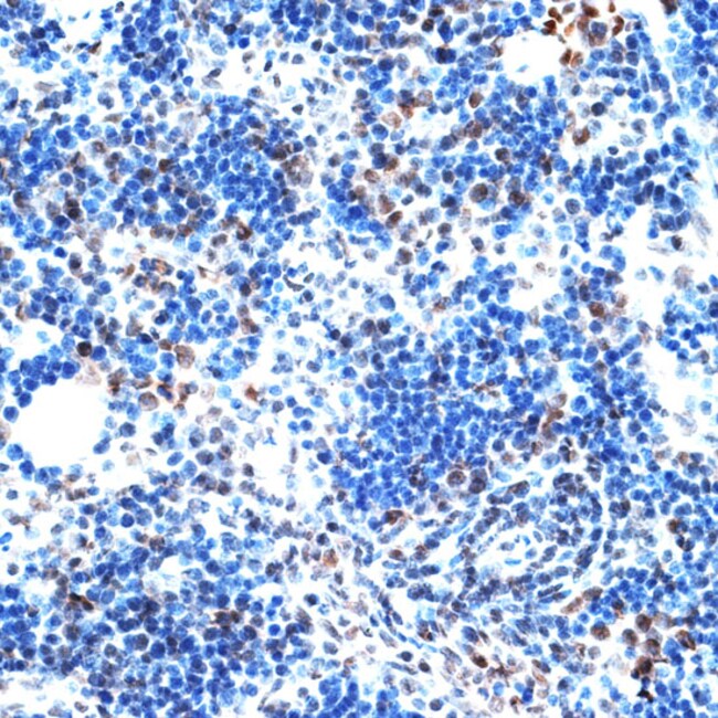
| ELISA, Immunohistochemistry (Paraffin), Western Blot | |
| 1.95 mg/mL | |
| PBS with 50% glycerol and 0.01% thimerosal; pH 7.3 | |
| O60306, Q8CFQ3 | |
| AQR | |
| Recombinant fusion protein containing a sequence corresponding to amino acids 400-700 of human AQR (NP_055506.1). | |
| 100 μL | |
| Primary | |
| Human, Mouse, Rat | |
| Antibody | |
| IgG |
Your input is important to us. Please complete this form to provide feedback related to the content on this product.