missing translation for 'onlineSavingsMsg'
Learn More
Learn More
Invitrogen™ APOE Monoclonal Antibody (1H4)

Description
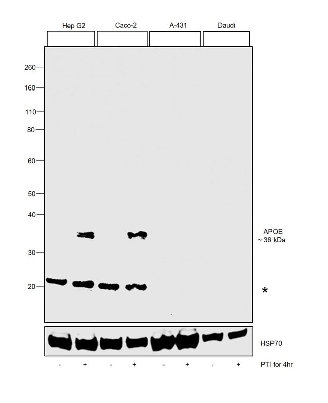
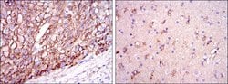
MA5-15852 targets ApoE in indirect ELISA, FACS, IHC, and WB applications and shows reactivity with Human samples. The MA5-15852 immunogen is purified recombinant fragment of human ApoE expressed in E. Coli. . MA5-15852 detects ApoE which has a predicted molecular weight of approximately 36kDa.
Apo E (Apolipoprotein E) plays an important role in the metabolism of lipids in the plasma, and is also is a constituent of various plasma lipoprotein-lipid particles. The protein is synthesized in liver, brain, spleen, and the kidney, and concentrations are high in interstitial fluids, where it plays a role in distributing cholesterol from cells where cholesterol is in excess to cells which require cholesterol. Apo E also plays an important role in the formation of very low density lipoprotein and chylomicrons. The Apo E gene is located on chromosome 19 at position 19q13. 2.
Specifications
Specifications
| Antigen | APOE |
| Applications | ELISA, Flow Cytometry, Immunohistochemistry (Paraffin), Western Blot |
| Classification | Monoclonal |
| Clone | 1H4 |
| Concentration | Conc. Not Determined |
| Conjugate | Unconjugated |
| Formulation | Ascites with 0.03% sodium azide |
| Gene | APOE |
| Gene Accession No. | P02649 |
| Gene Alias | AD2; AI255918; APOE; apo-E; ApoE4; APOEA; Apolipoprotein; apolipoprotein E; apolipoprotein E3; apolipoprotein E4; Apoprotein; B2G1; BG; LDLCQ5; LPG; MGC1571 |
| Show More |
Product Title
By clicking Submit, you acknowledge that you may be contacted by Fisher Scientific in regards to the feedback you have provided in this form. We will not share your information for any other purposes. All contact information provided shall also be maintained in accordance with our Privacy Policy.
Spot an opportunity for improvement?