missing translation for 'onlineSavingsMsg'
Learn More

Apc10 Antibody - BSA Free, Novus Biologicals™

Rabbit Polyclonal Antibody

Brand:  Novus Biologicals NBP1-77157

Product Code. 18288975

  • £398.00 / 0.10mg

Please to purchase this item. Need a web account? Register with us today!

This item is not returnable. View return policy

Description

Description

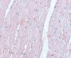
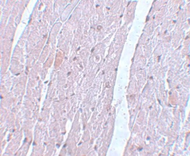
Apc10 Polyclonal specifically detects Apc10 in Human, Mouse, Rat samples. It is validated for Western Blot, ELISA, Immunohistochemistry, Immunocytochemistry/Immunofluorescence, Immunohistochemistry-Paraffin.
TRUSTED_SUSTAINABILITY
Specifications

Specifications

Apc10
Polyclonal
Unconjugated
PBS with 0.02% Sodium Azide
anaphase promoting complex subunit 10, anaphase-promoting complex subunit 10, APC10DOC1, Cyclosome subunit 10, DKFZP564L0562
Rabbit
Affinity Purified
RUO
Primary
Human, Mouse, Rat
IgG
Western Blot, ELISA, Immunohistochemistry, Immunocytochemistry, Immunofluorescence, Immunohistochemistry (Paraffin)
1 mg/mL
Western Blot 1-2 μg/mL, ELISA 1:100-1:2000, Immunohistochemistry 5 μg/mL, Immunocytochemistry/Immunofluorescence 20 μg/mL, Immunohistochemistry-Paraffin 5 μg/mL
EAX05052
ANAPC10
Antibody was raised against a 16 amino acid synthetic peptide near the center of human APC10. The immunogen is located within amino acids 60 - 110 of APC10. Amino Acid Squence: IYADYKSDESYTPSK
0.1 mg
Cell Biology, Cell Cycle and Replication, Ubiquitin Proteasome Pathway
10393
Store at 4C short term. Aliquot and store at -20C long term. Avoid freeze-thaw cycles.
Product Suggestions

Product Suggestions

Videos
SDS
Documents

Documents

Certificates
Promotions

Promotions

Product Content Correction

Your input is important to us. Please complete this form to provide feedback related to the content on this product.

Product Title

By clicking Submit, you acknowledge that you may be contacted by Fisher Scientific in regards to the feedback you have provided in this form. We will not share your information for any other purposes. All contact information provided shall also be maintained in accordance with our Privacy Policy.

Thank You! Your feedback has been submitted. Fisher Scientific is always working to improve our content for you. We appreciate your feedback.

For Research Use Only