missing translation for 'onlineSavingsMsg'
Learn More
Learn More
Invitrogen™ APBB2 Polyclonal Antibody

Rabbit Polyclonal Antibody
Brand: Invitrogen™ PA5101421
This item is not returnable.
View return policy
Description
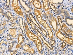
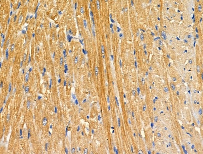
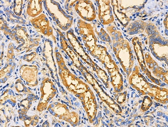
Antibody detects endogenous levels of total APBB2.
The protein encoded by this gene interacts with the cytoplasmic domains of amyloid beta precursor protein and amyloid beta precursor-like protein 2. This protein contains two phosphotyrosine binding domains, which are thought to function in signal transduction. Polymorphisms in this gene have been associated with Alzheimer's disease. Alternative splicing results in multiple transcript variants.
Specifications
| APBB2 | |
| Polyclonal | |
| Unconjugated | |
| Apbb2 | |
| 2310007D03Rik; amyloid beta (A4) precursor protein-binding, family B, member 2; amyloid beta (A4) precursor protein-binding, family B, member 2 (Fe65-like); amyloid beta A4 precursor protein-binding family B member 2; amyloid beta A4 precursor protein-binding, family B, member 2; amyloid beta precursor protein binding family B member 2; amyloid beta precursor protein-binding family B member 2; amyloid-beta A4 precursor protein-binding family B member 2; Apbb2; FE65L; FE65L1; Fe65-like 1; Protein Fe65-like 1; RGD1562438; Rirl1; TR2L; Zfra; zinc finger-like protein | |
| Rabbit | |
| Affinity Chromatography | |
| RUO | |
| 11787, 305338, 323 | |
| -20°C | |
| Liquid |
| Immunohistochemistry (Paraffin), Western Blot, Immunocytochemistry | |
| 1 mg/mL | |
| PBS with 50% glycerol and 0.02% sodium azide; pH 7.4 | |
| Q92870, Q9DBR4 | |
| Apbb2 | |
| A synthesized peptide derived from human APBB2(Accession Q92870), corresponding to amino acid residues Q493-E543. | |
| 100 μL | |
| Primary | |
| Human, Mouse, Rat | |
| Antibody | |
| IgG |
Product Content Correction
Your input is important to us. Please complete this form to provide feedback related to the content on this product.
Product Title
Spot an opportunity for improvement?Share a Content Correction