missing translation for 'onlineSavingsMsg'
Learn More
Learn More
Invitrogen™ APBA2 Polyclonal Antibody
Description
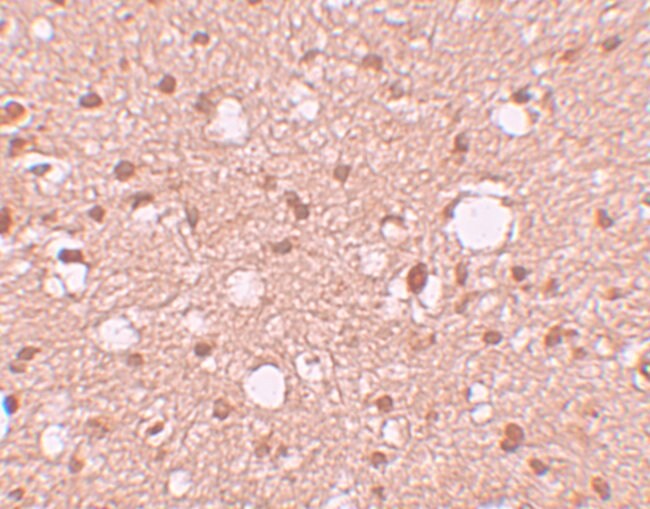
A suggested positive control is human brain tissue lysate. PA5-21053 can be used with blocking peptide PEP-1167.
APBA2, a member of the X11 protein family, is a phosphotyrosine-binding domain protein and is a neuronal adapter protein that interacts with amyloid precursor protein (APP) and neuritic plaques in the brains of patients with Alzheimer's disease. It stabilizes APP and inhibits production of proteolytic APP fragments including the Abeta peptide that is deposited in the brains of Alzheimer's disease patients. APBA2 is believed to be involved in signal transduction processes and is also regarded as a putative vesicular trafficking protein in the brain that can form a complex with the potential to couple synaptic vesicle exocytosis to neuronal cell adhesion. Recent reports suggest that it may also be a candidate gene for autism.
Specifications
Specifications
| Antigen | APBA2 |
| Applications | Immunohistochemistry, Western Blot |
| Classification | Polyclonal |
| Concentration | 1 mg/mL |
| Conjugate | Unconjugated |
| Formulation | PBS with 0.02% sodium azide |
| Gene | APBA2 |
| Gene Accession No. | Q99767 |
| Gene Alias | Adapter protein X11beta; amyloid beta (A4) precursor protein-binding family A member 2 (X11-like); amyloid beta (A4) precursor protein-binding, family A, member 2; amyloid beta (A4) precursor protein-binding, family A, member 2 (X11-like); amyloid beta A4 precursor protein-binding family A member 2; amyloid beta precursor protein binding family A member 2; Amyloid-beta A4 precursor protein-binding family A member 2; Apba2; D15S1518E; HsT16821; LIN-10; MGC:14091; Mint 2; Mint2; mint-2; mXllL; Neuronal Munc18-1-interacting protein 2; neuron-specific X11L protein; phosphotyrosine-binding/-interacting domain (PTB)-bearing protein; X11-BETA; X11L; X11-like; X11-like protein; XllL |
| Gene Symbols | APBA2 |
| Show More |
Product Title
By clicking Submit, you acknowledge that you may be contacted by Fisher Scientific in regards to the feedback you have provided in this form. We will not share your information for any other purposes. All contact information provided shall also be maintained in accordance with our Privacy Policy.
Spot an opportunity for improvement?