missing translation for 'onlineSavingsMsg'
Learn More
Learn More
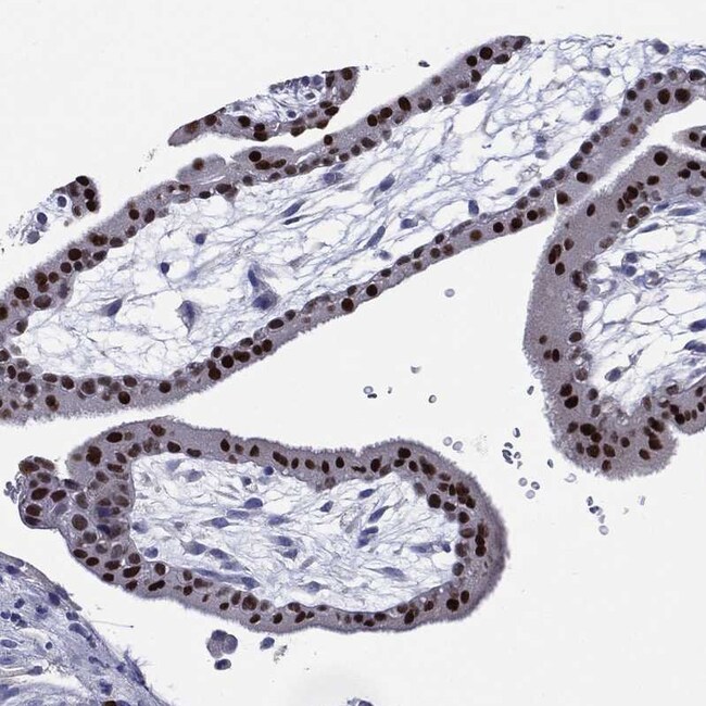
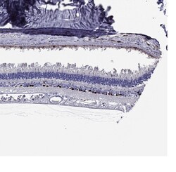
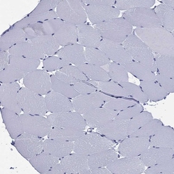
Invitrogen™ AP2 alpha Polyclonal Antibody

Rabbit Polyclonal Antibody
Brand: Invitrogen™ PA584317
This item is not returnable.
View return policy
Description
Immunogen sequence: GQRQSQESGL LHTHRGLPHQ LSGLDP Highest antigen sequence indentity to the following orthologs: Mouse - 100%, Rat - 100%.
TFAP2A is a sequence-specific DNA-binding protein that interacts with inducible viral and cellular enhancer elements to regulate transcription of selected genes. AP-2 factors bind to the consensus sequence 5'-GCCNNNGGC-3' and activate genes involved in a large spectrum of important biological functions including proper eye, face, body wall, limbs and neural tube development. They also suppress a number of genes including MCAM/MUC18, C/EBP alpha and MYC. TFAP2A is the only AP-2 protein required for early morphogenesis of the lens vesicle.
Specifications
| AP2 alpha | |
| Polyclonal | |
| Unconjugated | |
| TFAP2A | |
| activating enhancer-binding protein 2 alpha; activating enhancer-binding protein 2-alpha; Activator protein 2; activator protein 2 alpha variant 4; activator protein 2 alpha variant 6; activator protein 2 alpha variant 7; AP2; AP-2; Ap-2 (a); AP-2 transcription factor; AP2alpha; AP-2alpha; AP2-alpha; Ap2tf; BOFS; ERF-1; FLJ51761; OTTHUMP00000214240; OTTHUMP00000214243; Tcfap2a; TFAP2; TFAP2A; transcription factor AP2; transcription factor AP-2 alpha; transcription factor AP-2 alpha (activating enhancer binding protein 2 alpha); transcription factor AP-2, alpha; transcription factor AP-2-alpha; transcription factor AP-2-alpha-like; transcription factor; AP-2 | |
| Rabbit | |
| Antigen affinity chromatography | |
| RUO | |
| 7020 | |
| Store at 4°C short term. For long term storage, store at -20°C, avoiding freeze/thaw cycles. | |
| Liquid |
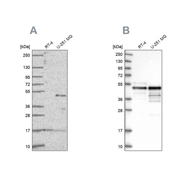
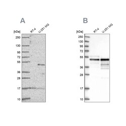
| Immunohistochemistry (Paraffin), Western Blot, Immunocytochemistry | |
| 0.1 mg/mL | |
| PBS with 40% glycerol and 0.02% sodium azide; pH 7.2 | |
| P05549 | |
| TFAP2A | |
| Recombinant protein corresponding to Human TFAP2A. Recombinant protein control fragment (Product #RP-103276). | |
| 100 μL | |
| Primary | |
| Human | |
| Antibody | |
| IgG |
Product Content Correction
Your input is important to us. Please complete this form to provide feedback related to the content on this product.
Product Title
Spot an opportunity for improvement?Share a Content Correction