missing translation for 'onlineSavingsMsg'
Learn More
Learn More
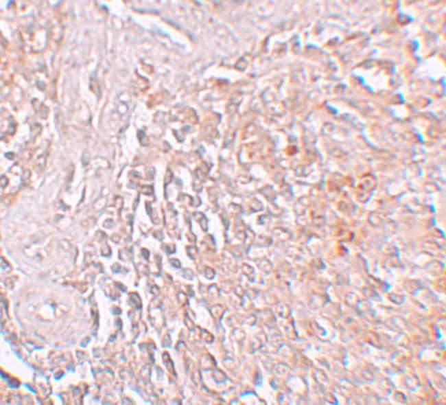
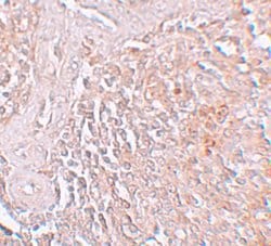
Invitrogen™ SLC39A8 Polyclonal Antibody

Rabbit Polyclonal Antibody
Brand: Invitrogen™ PA521073
This item is not returnable.
View return policy
Description
A suggested positive control is human spleen tissue lysate. PA5-21073 can be used with blocking peptide PEP-1187.
The zinc transporter ZIP8, also known as SLC39A9, is a member of a family of divalent ion transporters. Zinc is an essential ion for cells and plays significant roles in the growth, development, and differentiation. The zinc transporter family is divided into four subfamilies (I, II, LIV-1 and gufA). ZIP8 is glycosylated and located at the plasma membrane and mitochondria. It has been identified as the transporter responsible for transport of the toxic Cadmium cation. ZIP8 has also been suggested to play a role in the regulation of interferon-gamma expression in activated human T cells.
Specifications
| SLC39A8 | |
| Polyclonal | |
| Unconjugated | |
| Slc39a8 | |
| 4933419D20Rik; AA986696; BCG induced integral membrane protein BIGM103; BCG-induced integral membrane protein in monocyte clone 103 protein; BIGM103; CDG2N; LIV-1 subfamily of ZIP zinc transporter 6; LZT-Hs6; PP3105; Slc39a8; solute carrier family 39 (metal ion transporter), member 8; solute carrier family 39 (zinc transporter), member 8; solute carrier family 39 (zinc transporter), member 8 tv2; solute carrier family 39 member 8; Zinc transporter ZIP8; Zip8; ZIP-8; Zrt- and Irt-like protein 8 | |
| Rabbit | |
| Antigen Affinity Chromatography | |
| RUO | |
| 64116 | |
| Maintain refrigerated at 2-8°C for up to 3 months. For long term storage store at -20°C | |
| Liquid |
| Immunohistochemistry, Western Blot | |
| 1 mg/mL | |
| PBS with 0.02% sodium azide | |
| Q9C0K1 | |
| Slc39a8 | |
| An 18 amino acid peptide near the carboxy terminus of human ZIP8. | |
| 100 μg | |
| Primary | |
| Human | |
| Antibody | |
| IgG |
Correzione del contenuto del prodotto
Fornite il vostro feedback sul contenuto del prodotto compilando il modulo sottostante.
Titolo del prodotto
Individuate un'opportunità di miglioramento?Condividi una correzione di contenuto