missing translation for 'onlineSavingsMsg'
Learn More

Sp1 transcription factor, Mouse, Clone: 1A5, Abnova™

Mouse monoclonal antibody raised against a partial recombinant SP1.

Brand:  Abnova H00006667-M02.100ug

Product Code. 16064745

  • £303.00 / 100µg

Please to purchase this item. Need a web account? Register with us today!

This item is not returnable. View return policy

Description

Description

Sequence: GTGELDLTATQLSQGANGWQIISSSSGATPTSKEQSGSSTNGSNGSESSKNRTVSGGQYVVAAAPNLQNQQVLTGLPGVMPNIQYQVIPQFQTVDGQQLQFAATGAQVQQ
Specifications

Specifications

Sp1 transcription factor
Monoclonal
Unconjugated
PBS with no preservative; pH 7.4
NM_138473
Mouse
Affinity Purified
RUO
Yes
6667
Store at -20°C or lower. Aliquot to avoid repeated freezing and thawing.
IgG1
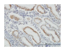
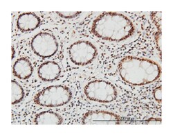
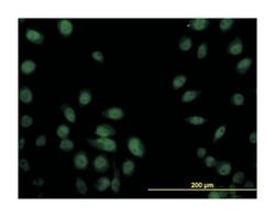
ELISA, Immunofluorescence, Immunohistochemistry (PFA fixed), Western Blot
1A5
Mouse monoclonal antibody raised against a partial recombinant SP1.
SP1
SP1
SP1 (NP_612482, 89 a.a. ∼ 198 a.a) partial recombinant protein with GST tag. MW of the GST tag alone is 26 KDa.
100 μg
Transcription Regulation
Primary
Human, Mouse
Antibody
Product Suggestions

Product Suggestions

Videos
SDS
Documents

Documents

Certificates
Promotions

Promotions

Product Content Correction

Your input is important to us. Please complete this form to provide feedback related to the content on this product.

Product Title

By clicking Submit, you acknowledge that you may be contacted by Fisher Scientific in regards to the feedback you have provided in this form. We will not share your information for any other purposes. All contact information provided shall also be maintained in accordance with our Privacy Policy.

Thank You! Your feedback has been submitted. Fisher Scientific is always working to improve our content for you. We appreciate your feedback.