missing translation for 'onlineSavingsMsg'
Learn More
Learn More
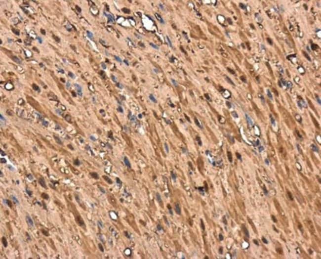
Invitrogen™ TAGLN Polyclonal Antibody

Rabbit Polyclonal Antibody
Brand: Invitrogen™ PA527463
This item is not returnable.
View return policy
Description
Recommended positive controls: 293T, A431, HeLa, HepG2, C8D30, Rat-2. Predicted reactivity: Mouse (96%), Rat (96%), Pig (98%), Chicken (85%), Bovine (97%). Store product as a concentrated solution. Centrifuge briefly prior to opening the vial.
TAGLN is a transformation and shape-change sensitive actin cross-linking/gelling protein found in fibroblasts and smooth muscle. Its expression is down-regulated in many cell lines, and this down-regulation may be an early and sensitive marker for the onset of transformation. A functional role of this protein is unclear.
Specifications
| TAGLN | |
| Polyclonal | |
| Unconjugated | |
| TAGLN | |
| 22 kDa actin-binding protein; 25 kDa F-actin-binding protein; actin-associated protein p27; DKFZp686B01212; DKFZp686P11128; Protein WS3-10; similar to transgelin; Sm22; sm22 alpha; SM22A; Sm22alpha; SM22-alpha; SMCC; smooth muscle 22 protein; smooth muscle protein 22-alpha; TAGLN; TAGLN1; Transgelin; transgelin variant 2; Ws310; WS3-10 | |
| Rabbit | |
| Antigen affinity chromatography | |
| RUO | |
| 21345, 25123, 6876 | |
| Store at 4°C short term. For long term storage, store at -20°C, avoiding freeze/thaw cycles. | |
| Liquid |
| Immunohistochemistry (Paraffin), Western Blot, Immunocytochemistry | |
| 0.47 mg/mL | |
| PBS with 20% glycerol, 1% BSA and 0.025% ProClin 300, pH 7 | |
| P31232, P37804, Q01995 | |
| TAGLN | |
| Recombinant protein encompassing a sequence within the center region of human Transgelin. The exact sequence is proprietary. | |
| 100 μL | |
| Primary | |
| Human, Mouse, Rat | |
| Antibody | |
| IgG |
Product Content Correction
Your input is important to us. Please complete this form to provide feedback related to the content on this product.
Product Title
Spot an opportunity for improvement?Share a Content Correction