missing translation for 'onlineSavingsMsg'
Learn More

SLIT2 Rabbit anti-Human, Mouse, Clone: SP122, Invitrogen™

Rabbit Monoclonal Antibody

Brand:  Invitrogen MA516423

Product Code. 13451157

This item is currently unavailable or has been discontinued.
View the product page for possible alternatives.
View alternative products »

This item is not returnable. View return policy

Description

Description

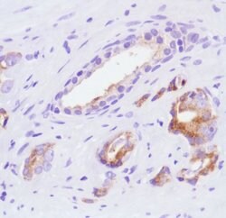
Heat-mediated antigen retrieval is recommended prior to staining, using a 10mM citrate buffer, pH 6.0, for 10 minutes followed by cooling at room temperature for 20 min. Following antigen retrieval, incubate samples with primary antibody for 30 min at room temperature. A suggested positive control is prostate adenocarcinoma.

SLIT2 are ligands for Robo receptors and play a vital role for axonal migration/navigation during neural development. A number of cleavage products through alternate splicing are reported in the literature for SLIT2 proteins. The C-terminal cleavage proteins are more diffusible than the larger N-terminal protein that is more tightly cell associated. SLIT2 protein is expressed in tissues such as fetal lung, kidney, and adult spinal cord.
TRUSTED_SUSTAINABILITY
Specifications

Specifications

SLIT2
Monoclonal
Unconjugated
Q9R1B9, O94813
SLIT2
Synthetic peptide corresponding to C-terminus of human SLIT2 protein.
500 μL
Primary
Human, Mouse
Antibody
IgG
Flow Cytometry, Immunohistochemistry (Paraffin)
SP122
SLIT2
SLIL3, Slit-2, slit homolog 2 protein
Rabbit
Protein A/G
RUO
20563, 9353
Store at 4°C short term. For long term storage, store at -20°C, avoiding freeze/thaw cycles.
Liquid
Product Suggestions

Product Suggestions

Videos
SDS
Documents

Documents

Certificates
Promotions

Promotions

Product Content Correction

Your input is important to us. Please complete this form to provide feedback related to the content on this product.

Product Title

By clicking Submit, you acknowledge that you may be contacted by Fisher Scientific in regards to the feedback you have provided in this form. We will not share your information for any other purposes. All contact information provided shall also be maintained in accordance with our Privacy Policy.

Thank You! Your feedback has been submitted. Fisher Scientific is always working to improve our content for you. We appreciate your feedback.