missing translation for 'onlineSavingsMsg'
Learn More

retinoic acid receptor, alpha, Mouse, Clone: 2D2, Abnova™

Mouse monoclonal antibody raised against a partial recombinant RARA.

Brand:  Abnova H00005914-M03.100ug

Product Code. 16114105

  • £303.00 / 100µg

Please to purchase this item. Need a web account? Register with us today!

This item is not returnable. View return policy

Description

Description

Retinoid signaling is transduced by 2 families of nuclear receptors, retinoic acid receptor (RAR) and retinoid X receptor (RXR; see MIM 180245), which form RXR/RAR heterodimers. In the absence of ligand, DNA-bound RXR/RARA represses transcription by recruiting the corepressors NCOR1 (MIM 600849), SMRT (NCOR2; MIM 600848), and histone deacetylase (see MIM 601241). When ligand binds to the complex, it induces a conformational change allowing the recruitment of coactivators, histone acetyltransferases (see MIM 603053), and the basic transcription machinery. Translocations that always involve rearrangement of the RARA gene are a cardinal feature of acute promyelocytic leukemia (APL; MIM 612376). The most frequent translocation is t(15,17)(q21;q22), which fuses the RARA gene with the PML gene (MIM 102578) (Vitoux et al., 2007 [PubMed 17468032]).[supplied by OMIM

Sequence: QLLPLEMDDAETGLLSAICLICGDRQDLEQPDRVDMLQEPLLEALKVYVRKRRPSRPHMFPKMLMKITDLRSISAKGAERVITLKMEIPGSMPPLIQEMLENSEGLDTLS
Specifications

Specifications

retinoic acid receptor, alpha
Monoclonal
Unconjugated
PBS with no preservative; pH 7.4
NM_000964
RARA
RARA (NP_000955, 315 a.a. ∼ 424 a.a) partial recombinant protein with GST tag. MW of the GST tag alone is 26 KDa.
100 μg
Transcription Regulation
Primary
Human
Antibody
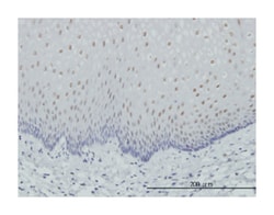
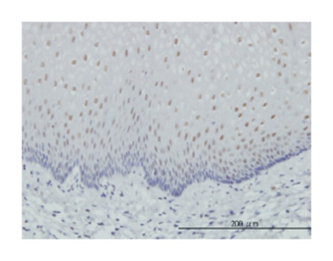
ELISA, Immunohistochemistry (PFA fixed), Western Blot
2D2
Mouse monoclonal antibody raised against a partial recombinant RARA.
RARA
NR1B1/RAR
Mouse
Affinity Purified
RUO
Yes
5914
Store at -20°C or lower. Aliquot to avoid repeated freezing and thawing.
IgG1 κ
Product Suggestions

Product Suggestions

Videos
SDS
Documents

Documents

Certificates
Promotions

Promotions

Product Content Correction

Your input is important to us. Please complete this form to provide feedback related to the content on this product.

Product Title

By clicking Submit, you acknowledge that you may be contacted by Fisher Scientific in regards to the feedback you have provided in this form. We will not share your information for any other purposes. All contact information provided shall also be maintained in accordance with our Privacy Policy.

Thank You! Your feedback has been submitted. Fisher Scientific is always working to improve our content for you. We appreciate your feedback.