missing translation for 'onlineSavingsMsg'
Learn More

PTEN Monoclonal Antibody (17.A), Invitrogen™

Mouse Monoclonal Antibody

Brand:  Invitrogen MA512278

Product Code. 11304613

This item is currently unavailable or has been discontinued.
View the product page for possible alternatives.
View alternative products »

This item is not returnable. View return policy

Description

Description

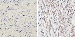
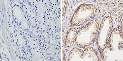
MA5-12278 targets PTEN in WB, IHC and ICC/IF applications and shows reactivity with Human and Mouse samples. The MA5-12278 immunogen is recombinant human PTEN protein.

PTEN was identified as a tumor suppressor that is mutated in a large number of cancers at high frequency. The PTEN gene is a phosphatidylinositol-3, 4, 5-trisphosphate 3-phosphatase. It contains a tensin like domain as well as a catalytic domain similar to that of the dual specificity protein tyrosine phosphatases. Unlike most of the protein tyrosine phosphatases, this protein preferentially dephosphorylates phosphoinositide substrates. PTEN negatively regulates intracellular levels of phosphatidylinositol-3, 4, 5-trisphosphate in cells and functions as a tumor suppressor by negatively regulating AKT/PKB signaling pathway. PTEN plays a role as a key modulator of the AKT-mTOR signaling pathway controlling the tempo of the process of newborn neurons integration during adult neurogenesis, including correct neuron positioning, dendritic development and synapse formation. Also, PTEN may be a negative regulator of insulin signaling and glucose metabolism in adipose tissue. The nuclear monoubiquitinated form possesses greater apoptotic potential, whereas the cytoplasmic nonubiquitinated form of PTEN induces less tumor suppressive ability.
TRUSTED_SUSTAINABILITY
Specifications

Specifications

PTEN
Monoclonal
Conc. Not Determined
tissue culture supernatant with 0.09% sodium azide
O08586, P60484
PTEN
Recombinant human PTEN protein
RUO
19211, 5728
4° C
Liquid
Immunocytochemistry, Immunohistochemistry (Paraffin), Western Blot
17.A
Unconjugated
PTEN
10q23del; 2310035O07Rik; A130070J02Rik; AI463227; B430203M17Rik; BZS; CWS1; DEC; GLM2; homolog of human mutated in multiple advanced cancers; MHAM; mitochondrial phosphatase and tensin protein alpha; mitochondrial PTENalpha; Mmac; MMAC1; MMAC1 phosphatase and tensin homolog deleted on chromosome 10; mutated in multiple advanced cancers 1; Phosphatase and tensin homolog; phosphatase and tensin homolog (mutated in multiple advanced cancers 1); phosphatase and tensin homolog deleted on chromosome ten; phosphatase and tensin-like protein; phosphatidylinositol 3; phosphatidylinositol 3,4,5-trisphosphate 3-phosphatase and dual-specificity protein phosphatase PTEN; phosphatidylinositol-3; phosphatidylinositol-3,4,5-trisphosphate 3-phosphatase and dual-specificity protein phosphatase PTEN; protein tyrosine phosphatase and tensin-like protein; PTEN; pten tumor suppressor; PTEN1; TEP1
Mouse
500 μL
Primary
Human, Mouse
Antibody
IgM κ
Product Suggestions

Product Suggestions

Videos
SDS
Documents

Documents

Certificates
Promotions

Promotions

Product Content Correction

Your input is important to us. Please complete this form to provide feedback related to the content on this product.

Product Title

By clicking Submit, you acknowledge that you may be contacted by Fisher Scientific in regards to the feedback you have provided in this form. We will not share your information for any other purposes. All contact information provided shall also be maintained in accordance with our Privacy Policy.

Thank You! Your feedback has been submitted. Fisher Scientific is always working to improve our content for you. We appreciate your feedback.