missing translation for 'onlineSavingsMsg'
Learn More

TFF1 Monoclonal Antibody (GE2), Invitrogen™

Mouse Monoclonal Antibody

Brand:  Invitrogen MA512669

Product Code. 11314693

  • £400.00 / 500µL

Please to purchase this item. Need a web account? Register with us today!

This item is not returnable. View return policy

Description

Description

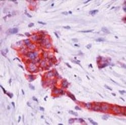
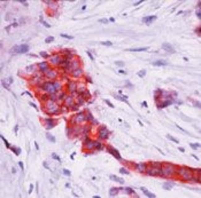
MA5-12669 targets pS2/pNR-2 Estrogen-Regulated Protein in IHC (P) applications and shows reactivity with Human samples. The MA5-12669 immunogen is a Synthetic peptide of 28 amino acid residues corresponding to CFDDTVRGVPWCF-YPNTIDVPPEEECEF (aa 57-84) from C-terminus of human pS2 protein.

Members of the trefoil family are characterized by having at least one copy of the trefoil motif, a 40-amino acid domain that contains three conserved disulfides. They are stable secretory proteins expressed in gastrointestinal mucosa. Their functions are not defined, but they may protect the mucosa from insults, stabilize the mucus layer, and affect healing of the epithelium. This gene, which is expressed in the gastric mucosa, has also been studied because of its expression in human tumors. This gene and two other related trefoil family member genes are found in a cluster on chromosome 21.
TRUSTED_SUSTAINABILITY
Specifications

Specifications

TFF1
Monoclonal
0.2 mg/mL
PBS with 0.2% BSA and 0.09% sodium azide; pH 7.4
P04155
TFF1
A Synthetic peptide of 28 amino acid residues corresponding to CFDDTVRGVPWCF-YPNTIDVPPEEECEF (aa 57-84) from C-terminus of human pS2 protein
500 μL
Primary
Human
Antibody
IgG1
Immunohistochemistry (Paraffin)
GE2
Unconjugated
TFF1
Bcei; breast cancer estrogen-inducible protein; breast cancer estrogen-inducible sequence; D21S21; gastrointestinal trefoil protein pS2; HP1.A; HPS2; PNR-2; polypeptide P1.A; Protein pS2; PS2; TFF1; Trefoil factor 1
Mouse
Protein G
RUO
7031
4° C
Liquid
Product Suggestions

Product Suggestions

Videos
SDS
Documents

Documents

Certificates
Promotions

Promotions

Product Content Correction

Your input is important to us. Please complete this form to provide feedback related to the content on this product.

Product Title

By clicking Submit, you acknowledge that you may be contacted by Fisher Scientific in regards to the feedback you have provided in this form. We will not share your information for any other purposes. All contact information provided shall also be maintained in accordance with our Privacy Policy.

Thank You! Your feedback has been submitted. Fisher Scientific is always working to improve our content for you. We appreciate your feedback.