missing translation for 'onlineSavingsMsg'
Learn More
Learn More
Invitrogen™ Phospho-TSC2 (Thr1462) Polyclonal Antibody

Rabbit Polyclonal Antibody
Brand: Invitrogen™ PA536895
This item is not returnable.
View return policy
Description
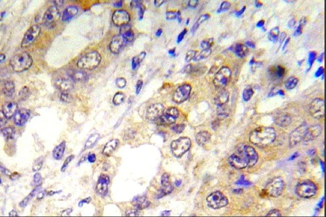
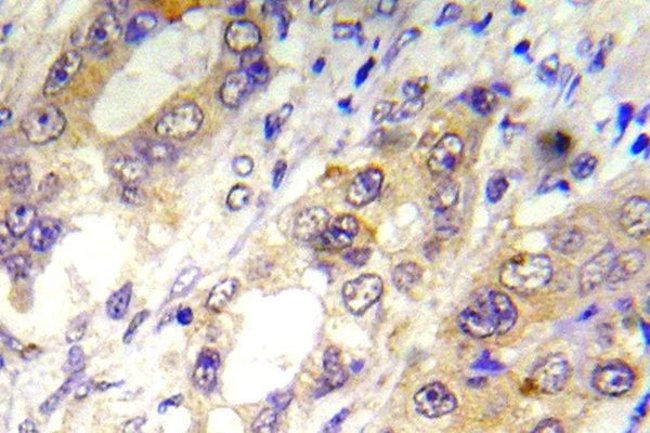
This antibody detects endogenous protein at a molecular weight of 200 kDa. Purity is >95% by SDS-PAGE.
TSC2 (Tuberin, Tuberous sclerosis complex, TSC Complex Subunit 2), is implicated as a tumor suppressor and may function in vesicular transport, play a role in the regulation of cell growth arrest and in the regulation of transcription mediated by steroid receptors. TSC2 associates with hamartin in a cytosolic complex, possibly acting as a chaperone for hamartin. Phosphorylation of tuberin on Ser 939 and Thr 1462 regulates its interaction with hamartin, and is stimulated by various growth factors through the phosphoinositide 3-kinase/Akt pathway. TSC2 may have a function in vesicular transport, but may also play a role in the regulation of cell growth arrest and in the regulation of transcription mediated by steroid receptors. Interaction between TSC1 and TSC2 may facilitate vesicular docking. TSC2 specifically stimulates the intrinsic GTPase activity of the Ras related protein RAP1A and RAB5, suggesting a possible mechanism for its role in regulating cellular growth. Mutations in TSC2 lead to constitutive activation of RAP1A in tumors and are involved in diseases such as lymphangioleiomyomatosis and TSC2 angiomyolipoma. Alternative splicing results in transcript variants of three different isoforms of TSC2.
Specifications
| Phospho-TSC2 (Thr1462) | |
| Polyclonal | |
| Unconjugated | |
| TSC2 | |
| LAM; Nafld; OTTHUMP00000198394; PPP1R160; protein phosphatase 1, regulatory subunit 160; Rc; renal carcinoma; Tcs2; Tsc2; TSC4; Tuberin; tuberous sclerosis 2; tuberous sclerosis 2 homolog protein; tuberous sclerosis 2 protein; Tuberous sclerosis 2 protein homolog | |
| Rabbit | |
| Antigen affinity chromatography | |
| RUO | |
| 22084, 24855, 7249 | |
| Store at 4°C short term. For long term storage, store at -20°C, avoiding freeze/thaw cycles. | |
| Liquid |
| Immunohistochemistry (Paraffin) | |
| 1 mg/mL | |
| PBS with 0.05% sodium azide; pH 7.2 | |
| P49815, P49816, Q61037 | |
| TSC2 | |
| Synthetic phosphopeptide derived from human Tuberin around the phosphorylation site of Threonine 1462. | |
| 100 μL | |
| Primary | |
| Human, Mouse, Rat | |
| Antibody | |
| IgG |
Product Content Correction
Your input is important to us. Please complete this form to provide feedback related to the content on this product.
Product Title
Spot an opportunity for improvement?Share a Content Correction